出産ラッシュ!!
出産ラッシュ って どこの国の事かと思ったら
長谷川亨歯科クリニックのことでした (汗)。
この春、産休中のお二人(歯科衛生士と歯科助手)が、立て続けに出産された後
首の据わりかけた赤ちゃんを見せにきてくれました!!
カワイイです!!!
さらに先日、産休中のお一人(歯科助手)がおめでたとなりました。
美人です!!!
それにとどまらず、新たにお二人が、出産を控えつつ、ご勤務されています。
身重でのご勤務は、さぞかし大変と察しますが、
ほぼいつも通りのペースで頑張ってくれています。
皆さん、産休後はきっちり戻って頂けると言うことですが、
その間の人手不足感は否めず、早く元気に戻ってきてくれるのが待ち遠しいです。
妊娠 出産 そして育児と とてもたいへんな事ではありますが、
それぞれの経験を通して、医療従事者として人間の幅を広げて頂ければと思います。
スタッフ不足をカバーしてくれている、
現スタッフに深く感謝すると共に
クリニックとしてもできる限りのサポートをさせて頂きます。
スタッフ全員でPCR検査を行いました
愛知県歯科医師会と愛知県歯科医師連の支援事業として行われた
「新型コロナウィルス PCR検査キットを用いた調査研究事業」に
当院の全スタッフが参加いたしました。
簡単に言えば、全員でPCR検査を受けたということです。
こんな感じのキットです。
唾液を採取し、歯科医師会に提出しました。
その結果は
・
・
・
・
・
全員
・
・
・
・
・
<「コロナウィルスは検知されません」
でした。

今回この事業の参加は
① 患者さんに安心してもらう、
② スタッフにコロナ対策をさらに徹底してもらう
事が目的でした。一度だけのPCR検査の有意性はともかくとして、
コロナ対策はできる限り行っているつもりの当クリニックですが
今回の検査を通し、
さらにコロナを身近に感じ、
いつ来るかもしれない
次の波に備えてまいりたいと思います。
お誕生日&送別会
こんにちは☆
すごく久しぶりにブログを書かせていただきますsumieです!!
今回、お誕生日&送別会と言うことで主役が4人もいると言う大変濃いお食事会となりました!
お店は毎年お世話になっています名古屋コーチン味噌鍋の「楽」と言うところです。
私が数年前に初めて行った時にあまりもの美味しさに衝撃を受け一時期携帯の待受画像にしてたくらい大好きなお店です。
お部屋はとても落ち着く畳の和室で2つの丸テーブルが並んでいてそこに座るとまるで親戚の集まりかのような空間になるところです。
女将さんがせっせとお料理の準備をしてくださっている合間、、、

なんと院長先生この待ち時間を使ってミーティングを開始!!
事前にみんなに配る資料も準備してくださっていたようでそれを元に行いました!その内容はみんなが普段疑問に思っていたことが解決するとても大事な事ばかりでした!
終わった後のみんなの声は
「ずっと聞きたかったけど知りたかったけど中々機会がなくスッキリした~」と言う感想でした。少しの時間も無駄にしない院長先生の生活スタイル尊敬します!!
そうこうしている間に待ってましたー!!
お待ちかねの鶏味噌鍋の具材がやってきて女将さんが火加減から煮込みまで全てやってくださり最高に美味しい状態での食!!

みんなハフハフおいしーと言いながら次々頬張っていました♫
なんと言ってもこちらの鍋の締めは
第一弾↓
味噌スープしみしみきしめん♫
第二弾↓

半熟卵1人1個のせスペシャル雑炊♫
と2回やってくると言うこの満足感❤︎
胃袋が大変喜んでおります❤︎そんな中主役のお誕生日の方へのケーキが続々登場♫
院長先生の奥様がご準備してくださったお洒落なケーキにみんなで大感動❤︎写真のオンパレード♫
まずはaikoさん
ライブやスポーツ観戦が大好きで好きな芸能人の話になるともう興奮が止まらない妹のように笑顔がキュートなお人柄です!
いつも患者様と楽しくニコニコお話ししてるのが印象的です。
続いてmitsukoさん
いろんな分野に詳しく1聞いたら10返ってくると言うような知識が豊富でテキパキと仕事をこなすしっかりとしたらお人柄です!
言葉使いも丁寧で日々参考にさせて頂いています!
そしてhinanoさん
ジャニーズの〇〇くんが大好きでいつも熱く語っており話し出したら止まらなくそしてその表情は艶々キラキラしていて本当に大好きと言うことが伝わってくる幸せいっぱいのお人柄です!
お仕事では分からないことを知ろうと努力する向上心のある方です。
みんなでケーキと共にハイチーズ♫

さてさて続いては開業される為当院を2月いっぱいで退職される宮地Drへのご挨拶。

宮地Drは患者様に親身になってお話を聞いて説明をしっかりされる丁寧で真面目なDrです。
ですが私たちとお話をする時はお茶目な一面があったりこんなことを言っては失礼かもしれませんが丸で少年のような茶目っぷりがスタッフの間で大人気です♫
そんな宮地Drとお別れとなってしまうことはとても寂しいですがどうか開業される医院が素敵な医院となりますようスタッフ一同心から願っています!!
本日はとても濃く楽しいお食事会となりました!
是非、熱々のお鍋で温まりたいなぁと思った際は名古屋コーチン味噌鶏鍋「楽」へどうぞ♫
メ~テレ アップ! で院長がコメントしました
2020年2月13日(木)
メ~テレ アップ! に私(長谷川)のコメントが放送されました。取材は12日、放送は13日でした。今回の企画は、新型コロナウィルスの社会に及ぼす影響についてでした。
いろいろな角度から取材されていたのですが、その一例として、医療現場にも及んでいる、衛生用品不足の実情について取り上げられたものでした。
当院でも、マスクとアルコール等消毒剤は入手が困難になっています。
また、一部グローブ(手術用のゴム手袋)も流通が滞っています。
グローブは日々の治療でかなり消費されるので、その窮状についてコメントを述べさせていただきました。
このような取材は、過去にも何度もお受けしていますが、とても緊張します。
放送日はクリニックにいたため生で観ることはできませんでしたが、
録画で確認したところ、冒頭のローカル放送と、6時過ぎの全国ネット放送と、2度取り上げて頂いてたようでした。
メ~テレ取材スタッフの皆様、歯科医院状況について報道いただきありがとうございました。
また、急な取材に協力いただいたスタッフの皆様、どうもありがとうございました。
12月お誕生日会 歓迎会 送別会
みなさま初めまして。今回ブログを担当させていただくことになりました初登場!歯科助手のyuinaです^ ^ 12月に入り、あっという間に残すところあと少しで年明け!?いや~早いものです。年々早く感じております。恐怖…笑さてさて、毎月私が楽しみにしている恒例行事☆12月のお誕生日会が開催されました!今回のお店は、高岳にあります”ルフージュ”さんにて行われました! こちら、「鍾乳洞をイメージした隠れ家的バー」とのことでそう!本当にその名の通りでした!笑お店に入った瞬間から、もうそこは鍾乳洞の中!いつも素敵なお店ばかりで院長先生に感謝です☆ではでは、料理の一部をご紹介♪
サラダから始まり、

ピザやパスタ、お洒落なお肉!笑どれもこれもとても美味しくいただきました!そして今回の主役、歯科助手のeriさん!
eriさんは、去年より産休を経て今年の9月に復帰!人気者のeriさん…心待ちにしていた患者様も多いのではないでしょうか?♪ 少し診療所を離れていたのにも関わらず、さすがです!仕事のテキパキさが半端ない! 患者様への対応も丁寧で、院長先生はじめ、スタッフからの信頼も厚く 一緒に働いていてeriさんがいるだけで、とても心強く感じております☆ 次に!今回のお食事会は、これだけではありません…10月より、新しい先生が加わりまして歓迎会!
ナイススマイル☆飯田先生です!飯田先生は、国際医療ボランティア団体にて活動されており英語が堪能です! 当クリニックでは、外国人の患者様も多く 言語が通じ理解し合えるのはとても安心し治療が進められます。 英語で診察しているときの先生は、普段ももちろん素敵な方なのですが よりカッコいいよね!とスタッフの中で噂が…^ ^患者様に寄り添って、しっかりとお話しを聞き説明して丁寧に治療して下さいます! これからよろしくお願い致します☆最後に!今回の会は、送別会でもありました…歯周病科の大野先生が大学病院での業務が忙しくなり年内をもって当クリニックをご退職されることになりました。スタッフの中でも人気な大野先生☆患者様はもちろん、スタッフにも優しく分からないことがあると分かりやすい言葉で説 明して下さっていました( ; ; ) 本当にお世話になりました!スタッフのなかで
は、すでに”大野先生ロスだ”という声が…先生の益々のご活躍、お祈り致します!
とても良い写真ですね!薄暗いムードのある店内でしたのでみんなで携帯のライトをあてて記者会見のようでした!笑 お誕生日会、歓迎会、送迎会と盛り沢山の内容でお送り致しました☆参加者は、院長、先生方4名、スタッフ10名の計15名!
診療中にはなかなか話せない先生方やスタッフと話す場を設けていただき、 普段の診療中での聞きたかったことやプライベートなお話しもでき 、 本当にみんな楽しそうで笑いが絶えない会となりました^ ^このような場で、よりコミュニケーションがとれクリニック内でのコミュニケーションに繋がる…働いていて、すごく感じます!産休後に復帰されるスタッフの方が多いのも、クリニック内でのコミュニケーションの高さがあるからなのではと 思います。
いよいよ本格的な寒さとなり、クリスマスに忘年会…とたくさん美味しいものを食べる機会が多い時期です♪ 当クリニックでは、28日の午前中まで診療致しております!より良いお口の環境で年末年始を迎えられるよう、お困りの方は早めにご連絡下さい☆最後まで読んでいただきありがとうございました^ ^9月お誕生日会!歓迎会!送別会!
皆様こんにちは。
長かった夏も終わり、涼しい季節になってきましたね。
いかがお過ごしでしょうか?
長谷川亨歯科クリニックでは、おめでたい行事が重なりまして、院長先生がお食事会を開いてくださいました。
主婦の方やご都合が合わず不参加になってしまったスタッフもいた中、今回なんと総勢17名も参加する事ができました!
今回の場所は、なんと! 皆様ご存知、、
千種にある料亭の松楓閣さんです!院長先生御用達の由緒ある和食の料亭という事で
スタッフ一同緊張して足を踏み入れました。入り口からのオーラが凄すぎて庶民の私はとても入り辛かったのですが、、
お出迎えがあり、VIP待遇で案内していただきました!
(中庭)
今回のお食事会はお祝い事盛りだくさんでして、
まず一つ目のおめでたい事は、
saoriさん、sumieさん、kieさん、mayumiさんのお誕生日月でした!(お誕生日の4人)
皆様ご存知の通り、歯科衛生士のsaoriさんは当院のチーフでもあり、
専門学校の先生もされている敏腕衛生士です! かっこいいですね!
そしてプライベートではご結婚もされて、主婦もこなす スーパーウーマンでございます!
(写真の左から2番目)歯科助手のsumieさんは当院の副チーフでスタッフのリーダーも務めております!
責任感も強くて、スタッフ皆からの信頼も厚い方です。
最近ブログにもあげられていたのですが、
イケメンな旦那様とご結婚されたばかりで、幸せ満開の笑顔です!
(写真右から2番目)歯科衛生士のkieさんは見た目通りとてつもなく優しくて自分に厳しい美人衛生士です!
彼女は歯ぎしり防止用のマウスピース等も作っておりますので、夜の噛み締めがひどい方は美人衛生士のkieさんに一度ご相談してみて下さい。
(写真1番左)歯科助手のmayumiさんはブログに姿を見せるのは初めてではないでしょうか?
2児の母でもあり、仕事もバリバリこなすスーパー歯科助手です!
今回は旦那様のご協力もあり誕生日会に参加できてとても嬉しいです!
(写真1番右)誕生日ケーキもとても可愛いですね!
お誕生日おめでとうございます♪♬二つ目のおめでたい事は、当院に新しい歯科医師と歯科衛生士が入社しました!
(写真右)
こちらは歯科医師のhakata先生です。
hakata先生はsaito先生が紹介してくださって今年の8月から勤務しています。
治療はとてもスムーズでスピーディ、歯石も見逃さずに除去します!治療説明も丁寧にお伝えしていますので、気になることがありましたらお気軽にご相談下さい。
引き続き当院での活躍を期待しています!(写真左)
こちらは歯科衛生士のsinoさんです。
sinoさんは入ってまだ間もないのに、担当の患者さんが沢山いらっしゃる人気者歯科衛生士です。
一生懸命隅々まで歯のお掃除をしてくれるので、安心して任せられますね!長谷川亨歯科クリニックのファミリーになられたお二人、おめでとうございます♬♪
これからどうぞ宜しくお願いします!そして最後になりましたが、、
三つ目のおめでたい事は、火曜日と金曜日に勤務されていた口腔外科のsaito先生が、めでたくご開業されます!

(齋藤先生と院長先生)
saito先生は難しい親不知の抜歯も担当されていました。
見た目も中身もイケメンなsaito先生はスタッフからも大人気でしたので、
当院からいなくなると残念だと思っている患者様も沢山いる事でしょう。長い間当院に勤めていただいてありがとうございます。お疲れ様でした。
ご開業後も益々のご活躍を楽しみにしています!お誕生日会と歓迎会と送別会を同時に行いましたので、
最初は皆さんどんな顔をしていいのか戸惑いの表情でしたが、
結局いつも通り笑いの絶えないお食事会になりました!!こんな厳かな雰囲気のお店で騒いで大丈夫?と思いましたよね?
イエローカード大丈夫?心配になった方もいらっしゃるかと思いますが、
(イエローカードとは、つい楽しすぎて大きな声になってしまい、
他のお客様にご迷惑をおかけする寸前の時に出されるカードです)
ハセシカの為に広い個室で隣のお部屋とも離れたところにしていただいたんだと思います!つい大笑いしてしまっても安心できました。ありがとうございます。
(総勢17名の図)
ここからは恒例のお料理紹介のコーナーです!
松楓閣さんのお料理は、もぅ最高です!!

お料理は高級な食材を使った天婦羅がメインで、サックサクの揚げたてを頂きました!
とても美味しかったです!

シメのお茶漬けもホッとするお味でした。
デザートは甘いフルーツで大満足でした。
生きてるうちにこんな敷居の高いお店でお食事ができて幸せでした。
院長先生いつもありがとうございます!皆様もお祝い事やおもてなし等、大切な場面で是非ご利用してみて下さい。
料亭 松楓閣
〒464-0064 愛知県名古屋市千種区山門町2-3
TEL.052-751-2526 FAX.052-762-7705

http://www.shofukaku.jp/top/
(松楓閣の写真とHPURL)とても長くなってしまいましたが、
最後まで読んでいただきありがとうございます。ここ一週間で一気に気温も下がって参りましたので、体調を崩してしまう方や、
急に歯が痛くなってくる方も多いと思います。皆様、お体に気をつけてお過ごしください。
歯の不具合があればお気軽にお電話ください。(長谷川亨歯科クリニック集合写真)
8月お誕生日& Thanks for Peter
例年、暑さ厳しい名古屋ですが皆さまいかがお過ごしでしょうか。
人生で夏痩せを未だ経験したことがない歯科衛生士の横井です。
本日ご紹介するのは
8月に誕生日を迎えられたマナミさん、モモカさん。おめでとうございます!
今日までアルバイトとして来てくれたピーター。ありがとう!
そして、新しく仲間になってくれた歯科衛生士のエリコさんです。よろしくお願いします!
場所は、当院から徒歩10分のところに店を構えるフレンチダイニングバー「シェーネル・ヴォーネン」です。ここは、食べログの口コミなどを見ると、〝大人達の集う隠れ家的バー〟〝思わず長居したくなるような癒し空間〟など、素晴らしいコメントが目白押しの本物の〝大人〟〝癒し〟フレンチダイニングバーですがいつもその空気が読めないハセシカスタッフらは、
大人空間を台無しにしてしまうくらいはしゃぎ、
帰る頃になって他のお客様の存在に気づき反省する
というのがスタンダードです。(防音の個室が欲しい)


↑この写真だけを見ると、穏やかなしっとりとした空気が流れているように見えますが、実は大騒ぎです。(ほぼ野生の王国)今日の主役達の爆走振りを直接皆様にお見せできないのが残念で仕方ありませんが、少しでも雰囲気を皆様に感じていただけるよう一部ご紹介させていただきます。爆走例その1
〝マナミの自分の理想の死に方〟
彼女は中学生の頃から自分の死期の迎え方
について、理想を抱いていたそうです。
若い頃から自分の最期と向き合い生を考える事は
素晴らしい事だと思います。
では、マナミさんの理想の死をどうぞ。
私は
友達と楽しい時間を過ごしている時に
死にたいから
死ぬなら餅です!

餅が詰まって死ぬのがいいです!
周りの人にはマナミは楽しい人だったなぁ
っていう思い出を残して旅立ちたいんで!
だそうですが、目の前でそんな死に方をされたら、目撃者のトラウマ度はマックスに違いありません。でも、最悪なのは周りの人が私を助けよう
として、掃除機で餅じゃなくて誤って
舌を吸引する事です!!
餅が詰まってるのに舌も吸引されるって
最悪じゃないですか?
しかも、もしダイソンだったら
吸引力がハンパないんで!
(最悪なのはダイソンではなく、目の前で窒息死する
状況を目撃してしまった友人達ではないでしょうか)
マナミさんはいつもこんな常軌を逸した発言を
しているのかというと、
酒を飲んだ時に常時エラーがでるだけで、
勤務中はいたって普通ですので皆さま
ご安心ください。
爆走例その2〝モモカの気になる恥ずかしい習い事〟モモカさんは気になっている習い事があるそうです。
恥ずかしく公表できないという謎の習い事の存在を
知ってしまった私達は気になってしまい、
皆んな聞き出そうと必死になりました。
その食いつき度が高すぎて、当てられるのは
時間の問題だと感じたモモカさんは、突然、
一人につき一つしか言ってはいけないという
ゲーム方式に切り替えました。
何度も言いますがここは大人癒し空間です。
〝名古屋屈指の大人Bar〟
にとどろくハセシカの奇声をどうぞ!
「腹話術!」

「リンボーダンス!」
「象使い!」
最後の「象使い」と言ったあり得ない人は、もう皆さま薄々感づいていらっしゃるかもしれませんが、それはエラー続出のマナミさんです。皆んな思いつく限りの事を出したのですが、
結局どれも当たらず答えは教えてもらえませんでした。
あの手この手で聞き出した情報をまとめると
1)基本ひとりでやる
2)道具を使う
3)名古屋には教室が少ない
4)男女は問わない
いったいどんな習い事なのでしょうか。
爆走例は以上です。
この後のご紹介は落ち着いていきたいと思います。
新しく非常勤として入職されたエリコさんです。
彼女は歯科衛生士として務めるかたわら、
バレエダンサーという才能もお持ちの
「華麗なる歯科衛生士」です。
皆さま、バレリーナは本当につま先で踊っている
のか疑問に思った事はないでしょうか。
指の先で立つなんて不可能だ!
私は小学生の頃からそう思ってきました。
今日はその真偽を確かめる良い機会だと思い
エリコさんに聞いてみました。
すると驚きの事実、
本気のつま先でした。

しかも、着地の衝撃などが原因で
しょっちゅう親指の爪が取れるらしいです…
しかも、中途半端に引っ付いている状態が
一番痛く、完全に取れると楽になるという、
完全に理解不能な痛覚をお持ちのエリコさんには
驚愕しました。
かなり引き気味な私にエリコさんはつま先で立つ
コツを教えてくださいました。
それは、頭のてっぺんから糸で吊られているように
イメージすると、スッと体が軽くなり
つま先で立てるようになる
という事ですが、
私は体重測定の際に必ず吊られているイメージを
しますが、実際1gも軽くなりません。
最後にご紹介するのは
ピーターです。
彼は歯学部の大学に通いながら、
勉強も兼ねてアシスタントをしてくださいましたが、
秋学期からは本腰を入れて勉学に励む事を決め、
今日が最後となりました。
ピーターはアメリカ生活が長いので、
日本の食べ物でも甘味は知らないものが多いようです。
例えば〝どら焼き〟は知っているけど

〝たい焼き〟や〝みたらし団子〟は知らない。

ボク日本の透明な餅に
黄色いパウダーがかかったやつが好き
と言っていたのですが
それって

見た目、日本人なだけにギャップが面白いです。
さて、
今回の食事会のご紹介はかなり長くなってしまいましたが、
最後に
店を出る時に他のお客様からの
刺すような視線を感じたモモカさんの一言
なんか他のお客さんの
目が怖かった~
うるさかったかなぁ???
個人的には出入り禁止にならない事が不思議な
くらいうるさかったと思いますが
それでも、いつも温かく受け入れてくださる
〝シェーネル・ヴォーネン〟の皆様

本日は、長々とお付き合いくださいまして
ありがとうございました。
ーーーーーーーーーーーーーーーーーーーーー
本日のお店
シェーネル・ヴォーネン
052-256-0456
名古屋市中区新栄1-46-2
営業日時
[火~金・土・日・祝]
18:00~02:00
定休日
毎週月曜日
sumieさんの結婚式☆
皆さま、こんにちは。
だんだんと暑くなってきましたが、いかがお過ごしでしょうか。
今回久しぶりにブログを担当することになりました歯科衛生士のchizukoです。
今日は、当院チーフのsumieさんの結婚式についてお伝えしたいと思います!
sumieさんはいつもテキパキと仕事をこなし、なおかつ笑顔も忘れず、日々診療に従事しています。この日は梅雨の晴れ間の日曜日。
幸せいっぱいで晴れやかな笑顔が印象的なsumieさんの結婚式がありました!
美男美女~!!でした!
sumieさんは、スタッフの中でも背が高いのですが、旦那さまはさらなる長身!
とってもステキでお似合いのお二人!
sumieさんご自身も美しいのですが、当院で行ったホワイトニングで、歯も白く輝いておりました✨
(ブライダルのご予定のある方はぜひ!)披露宴では、sumieさんらしいテーブルコーディネートでセンスが光っていて、

院長先生の感動的なスピーチで涙して、

お色直しの中座をする時には、なんと院長先生はじめスタッフみんなで揃って歩かせて頂くというサプライズまで!!
出席者が色々楽しめるように考えられているなんて、sumieさんらしい心のこもった愛のあふれるひとときとなりました。お色直し後の和装もとてもよくお似合いでした!

最後には、個人的に忘れられないこのプチギフト!
みなさんお分かりになりますか???
なんと!歯をモチーフにしたアイシングクッキーです!なんとも可愛らしい~☆
スタッフ一同大盛り上がりでした!
sumieさん、ステキな結婚式に呼んでいただきありがとうございました!
末永くお幸せに~~♡saoriさん結婚パーティー!
こんにちは!衛生士のaikoです!
長谷川亨歯科では今、おめでたいことが続いています!🎉先日、大先輩saoriさんの結婚パーティーが開催されました!
saoriさんは、長谷川亨歯科クリニックのチーフでありながら、衛生士の専門学校の先生でもあり、各地で講演会もしております、スーパー衛生士です!患者さんからの信頼もあつく、saoriさんに診てもらいたい!という患者さんもたくさんみえます。saoriさんは、みんなの憧れの衛生士さんです。
また、衛生士のお仕事だけでなく、全てのお仕事をバリバリこなし、従業員みんな、saoriさんにたくさんお世話になっております。
そんなsaoriさんの結婚パーティー!とってもおめでたいです!!旦那さまは
当院にクリーニングに来ていただいたり(もちろんクリーニングするのはsaoriさんです😍)
当院のお引っ越しのお手伝いにも来ていただいたり、
すでにみんなと仲良しなのです!(笑)
saoriさんと旦那さま。お似合いです💗(ハロウィンではドラえもんとドラミちゃんのおそろいコスチュームで、仲良し夫婦です!)

saoriさんとは長い付き合いの、院長先生のスピーチです。感動しました。

従業員のみなさんと✨
ビンゴやじゃんけん大会など、大盛り上がりでした!
院長先生もたくさん活躍しておりました(笑)
笑いあり涙ありの結婚パーティーで、楽しく、幸せな時間でした!
saoriさん、本当におめでとうございます!!!💕院長先生お誕生日お祝い&お引っ越しの慰労お食事会
令和も無事にむかえ、連休も後半。
良いお天気に恵まれておりますが、皆様いかがお過ごしでしょうか?
長谷川亨歯科はただいまグランドオープンにむけ、お引っ越しの真っ最中!
笑顔の絶えない近況を少しだけでもお伝えできたら!
…と、今回は、ブログ初担当の歯科助手mitsukoがお送りいたします( ゚∀゚)ノトップニュースはのちほど…
まずはお引っ越し前半の慰労お食事会です。

この日のお店は栄にある「馬喰ろう」さん。
こちらはなんと桜肉こと馬肉を頂けるお店なのですΣ(O_O;)スゴーイ
そして、グランドオープンを記念して、馬喰ろうさんからお祝いのボトルを頂きました!
ありがとうございます!!
一緒に写っているスタッフさんのmaoさんは、当院の頼れる歯科助手さんでもあります。
maoさんはテキパキと仕事をこなすスーパー助手さんで、歳は若いですが落ち着きがあって、クールビューティな雰囲気がとっても素敵な女の子です^^
馬喰ろうさんでは、いつもとは雰囲気が違ってはいるものの、手際よく仕事をスマートにこなされていました!
お食事は馬肉料理の数々でした。
馬刺しの“こうね”がどこかわからなくて、ケータイでさっそく検索。
たてがみの部位で、コラーゲンがたっぷりで、美容によいとわかったら、みんなすごい勢いでぱくり(^¬^)
馬肉のすき焼きは院長先生も絶賛の美味しさで、みんな馬になってしまうほど(笑)
saoriさんのお隣の方は、助っ人のtetsuさん!
tetsuさんはスタッフのご家族の方で、なんとお引っ越しのお手伝いを申し出てくださったばかりか、重たいものを次々と運んでくださった救世主でした!感謝…(;ω;)そして、おまちかねのトップニュースは!!!
\\5月2日の院長先生のお誕生日です//

当日はお引越し作業がはじまる朝の時間に、みんなで集まってお祝いしました♪
今年はいろいろと節目になるということもあり、何か形になるものを…と院長先生のフィギュアを作成。
どうでしょう?
出来上がってきたときは、似てるー!とか、どんな反応されるかな?など、こっそり盛り上がっていたのですが…院長先生、いかがでしたか?
また、お祝いの紅白をイメージして、赤と白のワインもお贈りしました。
そんなお誕生日もお引越し後半戦の初日、気づけば作業終了時刻に…毎日あっという間です。
本来なら招待される側の院長先生ですが、お誕生日の翌日、わたしたちのためにお食事会をひらいてくださいました。
この日のお店は、愛知芸術文化センター内にある「ウルフギャング・パックカフェ」さん。
カリフォルニア料理の頂けるお店です。
カリフォルニア料理って?と検索をしたのですが、カリフォルニアは様々な料理のスタイルを融合させてきた歴史があるとのことで、美味しいものを気取らず頂ける、そんな雰囲気でした!
結婚式のパーティに使われたりもするそうです。納得。
最初、院長先生は端に座られていたのですが、翌日とはいえお誕生日!主役!ということで中央に。
この日は、長谷川亨歯科の出発から、長谷川家の様々な出来事、今回の建築のことなど、たくさんのお話しをしてくださり、
知っている方は懐かしい―!!知らない方はええー!?と、たいへん盛り上がりました。
今回は個室でしたので、前々回のお誕生日会のようにイエローカードを心配することもなし!!(笑)
どんな時でも患者様お一人おひとり、また勤務する先生方やスタッフ、その家族にいたるまで、いつも相手の立場にたって考えてくださる院長先生。
院長先生、これからもお元気でますますご活躍なさってくださいね!そして、スタッフ一同もみなさまのため尽力してまいりますので、
新たにスタートをきります長谷川亨歯科クリニックを、
今後ともよろしくお願い申し上げます。診療所お引っ越し中ですがお誕生日会&歓迎会です。
こんにちは。お久しぶりにブログ担当になりました歯科衛生士のaikoです。
ついに平成も終わりですね!みなさまGWはいかがお過ごしでしょうか。
長谷川歯科は新ビルへのお引っ越しの真っ最中ですが…
本日は、お引っ越し作業後に、歯科助手のyuinaさんのお誕生日と、今年4月から長谷川歯科の仲間になりました歯科衛生士のhinanoさん、歯科助手のpeterさんの歓迎会が行われました!
yuinaさんは、去年の夏頃入社したばかりですが受付も診療補助も何でもこなします!いつもやわらかい雰囲気を醸し出していて、笑顔がすてきです。みんなに慕われる、優しいお姉さんです!
hinanoさんは、新卒の歯科衛生士さんです。背が高くて美人さんです!常に落ち着いていて、既に 院長先生の治療の補助も1人でついてくれていて心強いです。これから一緒に頑張りましょう!
peterさんは、アルバイトで歯科助手をしに来てくれています。会うたびいつも明るくて元気な好青年です。peterさんのまわりはみんな笑顔です。なんと英語がペラペラです!

今日のお店はイタリアンです。箸置きが猫でした。(かわいい!!)

みんなお引っ越しで疲れているはずなのに盛り上がりすぎてイエローカードが出るほどでした(苦笑)

yuinaさんにお誕生日ケーキです!
お誕生日おめでとうございます\(^^)/みんなでお祝いです!

院長先生いつも楽しいお食事会をありがとうございます!!

そして、、、。
5/7に長谷川亨歯科クリニックはNewオープンいたします。
ぜひ新しくなった長谷川亨歯科にお越しください!まだまだお引っ越し作業は続きます。Newオープンに向けてスタッフ一同頑張ります!
yoshimoさんyumikoさんのお誕生日会
皆様、こんにちは。
そしてはじめまして、昨今花粉症になってしまったかもしれない歯科助手のmanamiです。
この度、愛すべき同期のお二方がお誕生日を迎えましたので、私がブログ担当になりました。
今回院長先生に予約していただいたお店は、名古屋市新栄にあるイタリアンレストランのアンティカローマさんです。
(アンティカローマ写真)
(先に入店し、みんなを出迎えるmomokaさん)
今回は、木曜日のドクター宮地先生と吉成先生もご参加いただきました!
こんなセレブなイタリアンレストランは人生で初めてでした。。
お店の豪華さにも驚きましたが、
出迎えていただいたイケメンイタリアンボーイのニックさんの年齢に驚かされました!
なんと、私の3つ下の26才だそうです!ギャップ。。。
(ニックさん写真)
お店の雰囲気もスタッフも本場イタリアさながらのクォリティで (←私は行ったことないですが。)
さらに.ピアノの生演奏も聴かせていただき、大満足でした!!!
(ピアノの生演奏)
料理もほっぺたが落ちるほど美味しくて、ワインも沢山いただいてしまいました。誕生日でもないのに。。
院長先生、本当にいつもありがとうございます! 院長先生が飲んでいるワインはいつもとても美味しいです!
(料理の画像)
ピザの生地回し?を見たり、院長パワーで特別にお店のワインセラー見学など、
とても貴重な体験をさせていただきました!
目の前の光景の何もかもがオシャレすぎて震えました。。
是非皆様も大切な人とご一緒に足を運んでみて下さい。
そして今回の主役のyoshimoさんは22才になりました!
(yoshimoさん画像)
長谷川亨歯科クリニックで一番若い歯科衛生士さんですが、
しっかり者で22才とは思えないほどよく働きます!
たまに髪の色をピンクにしますが、中身はとても真面目です!←
そしてそしてもう1人の主役のyumikoさんは,
急なご事情で残念ながら不参加になってしましましたが、
後日、院長先生から可愛いバラの花束をいただいてとても喜んでいました!
(yumikoさん画像)
歯科助手のyumikoさんも22才になりました!
yumikoさんは意外と几帳面で丁寧な仕事っぷりにギャップを感じます!
たまにぶっ飛んだ発言をして皆んなを驚かせますが、本人は真面目に言ってます!
ハセシカの天然記念物アイドルです。
お肌も歯もキラッキラしてて眩しいです(泣)
私はいつも同期のお二人のお若い刺激をいただいているので、益々キラッキラして頑張ります!
yoshimoさんyumikoさんお誕生日おめでとうございました!
(集合写真)
少し長くなりましたが、ブログももう終盤です。
長谷川亨歯科クリニックは5月からリニューアルして以前の場所にお引越しとなります!
新しい医院となりスムーズにいかない事もあるかもしれませんが、
患者様一人一人が安心して通える医院を目指して引き続き勤めていきますので、
今後とも宜しくお願い致します。
今回のお店情報【アンティカローマ】
http://www.anticaroma.jp/ウィメンズマラソン完走!!!
みなさんこんにちは♪
少しずつですが暖かくなってきましたね(^^)
なんとなんと長谷川亨歯科クリニックから3人が
3月10日(日)に行われた名古屋ウィメンズマラソンに参加しました!!
メンバーは…
一昨年も出場したsumieさん、今年初挑戦のmomokaさんと私kieです!
今回は3人を代表してkieがブログを担当します(^^)
人生で一度はフルマラソン走りきりたいと思っていたので
sumieさんmomokaさんに誘ってもらえてよかったです♪
やるからにはいいタイムをねらいたい!完走したい!と思って
ウィメンズマラソン出場が決まってから仕事後に走ったり
ハーフマラソンの大会に出たりとコツコツ練習していました!
当日あいにくの雨でした(;_;)(雨女です…)
雨の中走るのは初めてだったので3人とも不安でしたが
42.195キロ無事走りきりました♪

↑私の友達もいっしょに走りました!
長谷川亨歯科のスタッフもたくさん応援に来てくれました(;_;)
mitsukoさんは私たちの似顔絵をかいて応援してくれました!
すごく似ていてびっくり!!!感動でした!

最初から最後まで沿道にたくさんの応援の方がいて、
たくさんの方からの「がんばれーーー!」の声や演奏、チアガールたちの応援
がとても心に沁みました!!!
途中何度も心が折れかけましたが…応援でこんなにも
頑張ることができるんだとびっくりするぐらい力をもらえました(^^)
特に長谷川歯科スタッフの応援には涙が出ました!
フルマラソンを初めて走って、今まで味わったことのない達成感と
感動、みなさんの優しさを感じることができました!



次の日朝起きると全身が痛くて起き上がれず…(笑)
sumieさんは来年も走ろう!とやる気満々ですが
私とmomokaさんは……(笑)
どうなったかはまた来年のブログで報告します!(笑)
aikoさんmitukoさんお誕生日会🍰
こんにちは。
歯科助手のmomokaです。
インフルエンザが流行っていますが、皆さまは、ご体調大丈夫でしょうか?
空気が、乾燥していますよね。院長が診療所に加湿器を2台置きました。
患者様が快適に過ごせるような環境を今後も考えていきます。
さて、本日は、衛生士のaikoさんと歯科助手のmitukoさんの
お誕生日会です。
毎年恒例の名古屋コーチン鶏みそ鍋の「楽」さんにて開かれました。
とても美味しかったです。
ここで使用している鍋は、戦前から使用しているそうです。
丁寧に女将さんが、料理を作ってくださいました。
美味しすぎます。
料理が来る前はお話で盛り上がっていましたが、
食べるときは集中して静かになります。(笑)
そして本日主役の
4年目のベテランaikoさん❤️
aikoさんは白雪姫のように肌が白くてべっぴんさんです。
とても心が綺麗でaikoさんがいるだけで周りの人が癒されます。
そして、もう一人の主役は入社して4ヶ月ほどのmitukoさん❤️
mitukoさんは、とても存在感があり、テキパキ仕事ができてすごく優しい人です。
入社して4ヶ月とは思えないぐらい仕事が出来ます。
それから、今日参加の馬場先生(月、火、水、土勤務)
も1月生まれで、お誕生日が近くて
manamiさんとわたしから、ボールペンをプレゼントしました😍
馬場先生はとても、患者様から信頼も厚い先生です。
これからも末永くよろしくお願い致します。
最後は院長先生から主役に素敵なプレゼントが。
なんと!!
ケーキワンホール!!
とても可愛いケーキで美味しそうでした🍰
aikoさんもmitukoさんもとっても幸せそうでした。
お誕生日おめでとうございます。
みなさまも、この美味しいみそ鍋を食べに
ぜひ足を運んではみてはいかがでしょうか?
院長は多いときは週2でいくほど常連だそうです(笑)
本年も患者さまの歯の健康を祈って
お仕事を誠心誠意、努めてまいります。
それでは、みなさまご体調にお気をつけください。
お店の情報 楽(らく)
住所 愛知県名古屋市中区錦三丁目9-29
忘年会 2018
2018年も残すところ数日となりました。
皆様いかがお過ごしでしょうか。
めっきり寒くなり前歯が知覚過敏で話すのが辛い歯科衛生士の横井です。
今年も忘年会のシーズンが到来しました。
当院では忘年会は蟹本家で蟹しゃぶです。

小さいお子さんがいるスタッフは残念ながら参加していませんが、
それでも17名という大人数での参加でした。
ドクターは、馬場先生、鈴木先生、谷口先生がご参加くださいました。

今年一年を振り返って思い浮かぶことは、
5月に仮の診療所へ引越したこと、
そして、5名の新たな個性的スタッフを迎えたことです。
当院のスタッフは皆さん本当に個性的で、
ウィメンズマラソンに出場する人がいたり(複数名)、
富士山に登る人がいたり(複数名)、
空中ブランコで飛ぶ人がいたり(複数名)、
自分の名前を「もやし」にしたいと言う人がいたり(若干1名)、と多様性に富んだ方々ばかりです。
(最後の人は個性的を超越し、存在自体がミラクルです)
アシスタントや歯科衛生士だけでなく、
ドクターも個性的で、
鈴木先生も空中ブランコで飛びたい願望が前々からあり、
今日の忘年会では飛びたい仲間を募っていました。
空中ブランコは観るものだと思っていましたが、
最近は自分で飛ぶ時代なんですね。
空中ブランコ初の人でも飛べるようにしてくれる教室が名古屋にあるそうなので、
ご興味がある方は下記をクリックしてください。
(当院の個性派たちもここで飛びました)
蟹本家で蟹料理を食べると、
私たちは1年の終わりを感じますが、
馬場先生は昔、腐りかけの蟹を大量に食べて
アレルギーが出た事を思い出すそうです。
↑これはもしや蟹の真似?ご本人曰く、
腐りかけではない新鮮な蟹なら大丈夫だそうです。
(おそらく誰でもそうだと思いますが)
谷口先生は誰からも愛されるユーモア溢れるドクターで、
愛知学院大の口腔外科では鈴木先生の上司です。
上司らしさを微塵も感じさせない谷口先生は、
いつもの軽い口調が鈴木先生の怒りを買い、
鉄拳パンチを背中に受けていらっしゃいました。
ドスっと鈍い音がしていましたが、
それでも嬉しそうな谷口先生の笑顔が印象的でした。
(上下関係のない良い職場です)

最後はインスタ用に写真をパシャリ


当院に厚い信頼を寄せお通いくださる皆様、
ありがとうございますした。
皆様に支えられ今年も素晴らしい一年でした。

では、皆様よいお年をお迎え下さい。
ーーー本日のお店ーーー
札幌かに本家 栄中央店
〒460-0008 愛知県名古屋市 中区栄3丁目8-28
052-263-1161
ハロウィ~~~ン
あれは、10月31日のこと
仕事が終わって、月末なので残業事務をしていると・・・・
何やら
女子更衣室に不穏な騒ぎ声が・・・・
のぞくわけにもいかず、
静観しておりますと・・・・
何ということでしょう!!!
謎のコスプレ集団が!!!
しかも、今日お休みのはずのスタッフまでいるぞ~っ
人数半端ないし・・・・
そう、今日は ハロウィーン
皆さんそろって街へ繰り出すらしいデス
思わず、自分も仮装しそうになりました(苦笑)
皆さん、仲が良いことは素晴らしいですが・・・・
軽四輪を横倒しにしたり
その上に乗って雄叫びを上げたりしないでくださいね。
Have a wonderful night !
( ご期待に応じて 写真もアップしておきます )
9月生まれの方のお誕生日会🎂
こんにちは(^^)
歯科助手の方のmomokaです(^^)
今回の
主役はとても面白くて、
モテモテな
歯科衛生士のkieさん真面目で仕事出来ますが、
たまに天然な歯科助手のsumieさんそして
我がチームをまとめる
主任の天才衛生士saoriさん3人とも美人です(^^)
写真でご確認下さい。
今回は、
院長行きつけの
フレンチレストランに
お邪魔させていただきました(^^)まあ、、、お洒落!
すべての料理が美味しかったです♩
カップルにも、オススメです。わたしたち、スタッフは
とても仲が良く、
チームワークも抜群です。
(な、はずです。)これからも、
患者様が、安心して通える、
環境づくりをしていきます。なにか、わからないことや、
不安に思うことがありましたら、
なんでも、スタッフに
お尋ね下さい。kieさんは、
本当に癒してくれます。
笑顔が好きです。(^^)sumieさんは、
頼れるサブチーフです。
いつも頼りっぱなしです(^^)saoriさんは、
パーフェクトヒューマンです。
永遠の憧れです(^^)大好きなメンバーに
囲まれてお仕事させていただいています。
とても幸せなことです。今後とも、
長谷川亨歯科クリニックを
よろしくお願い申し上げます。【お店の情報】
ルシェル
(Le Ciel)
愛知県名古屋市東区徳川町2009
後藤先生送別会&momokaさんmanamiさん誕生日会
9月に入り少しずつ過ごしやすい季節となりましたが
みなさまいかがお過ごしですか?
スポーツの秋!ということで
最近ランニングに目覚めた歯科衛生士のkieが
ブログを書かせていただきます♪
三重県で開業されるということで後藤先生の送別会と
8月生まれのmomokaさんとmanamiさんのお誕生日会を
院長先生が開いてくれました!
この日は和食、日本食の柏木さんへ♪
このローストビーフが噛めば噛むほど味が出てきて
感動するおいしさでした♪♪
こちらのごはんも美味しすぎて
おかわりやお持ち帰りをみんなしていました♪
美味しいご飯に美味しいワイン
とっても楽しい時間を過ごせました!
それでは今回の主役の紹介をさせていただきます。
まずは後藤先生!
後藤先生は院長からも患者さんからも信頼されていていました!
院長も「ごっちゃん(後藤先生)いれば安心」と言うほどです!!
そして優しい先生です!我々スタッフにバキュームの仕方や豆知識など
教えてくれるのです!スタッフもとても頼りにしていました!
そんな後藤先生がいなくなってしまうのは寂しいですが…
開業大成功間違いなしです!!
そしてmomokaさん♪
momokaさんは女子力高くてとてもチャーミング
な先輩です!いつも明るくてみんなを笑顔にさせる
天才です!!そして運動もできちゃうんです♪
manamiさん♪
manamiさんはほんとにおもしろいです!
お酒がはいるとさらにおもしろさが増します♪
今まで長谷川亨歯科にはいなかった新キャラで
いつもみんなを笑わせてくれます♪
2人ともお誕生日おめでとうございました♪
後藤先生開業頑張ってください(^^)
yukoさん、hidekoさん、yukariさんのお誕生日会
みなさんはじめまして!
新人歯科衛生士の吉田です!
はじめてブログを担当させて頂きます♪
今回、受付のyukoさん、歯科助手hidekoさん、歯科衛生士yukariさんのお誕生日会が行われました!
yukoさんは長谷川亨歯科のおしゃれ番長で
受付業務を完璧にこなすカッコいい女性です!
hidekoさんは長谷川亨歯科の事を知り尽くしていて、何でも優しく教えてくれる助手さんです!
yukariさんは知識が豊富で、話がおもしろくとても尊敬できる先輩歯科衛生士さんです!
3人ともパートさんですが、正社員以上のご活躍ぶりです!
今回はCHEZ MATSUOというお店に連れて行っていただきました!お料理はどれもとても美味しく幸せな時間でした💕
院長先生素敵なお食事会を開いてくださりありがとうございました!
_ _ _ _ _ _ _ _ _ _ _ _ _ _ _ _ _ _ _ _ _
今回のお店
http://chez-matsuo.co.jp/restaurant/nagoya/sp/
所在地:名古屋市中区栄3-16-1 松坂屋名古屋店9F
電話番号:052-264-3644 (レストラン直通)でかい、重い、かわいい!
暑さも徐々に厳しくなってきた今日この頃、
皆様いかがお過ごしでしょうか。
最近、夜になると蝉の脱皮を見に行ってしまう
歯科衛生士の横井です。
今日は元スタッフの奥野さんが、
出産後初めて赤ちゃんを連れてクリーニングに来てくださいました。
大きく産んで大きく育てていらっしゃるようで、
3400gで産んで、3ヶ月で6kgまで大きくなりました!
触り心地はマシュマロのビッグベビーです。

でかい、重い、かわいい!
(院長コメント)
院長はお孫さんもいらっしゃるので、
赤ちゃんを抱っこすることに慣れていらっしゃいますが、
独身スタッフでか細い腕の立松さんは、6kgの赤ちゃんを抱っこした後、
しばらくは痙攣がおさまらず、
お昼ご飯を食べる時も箸が微振動していました。
そして、
次に慣れない手つきで赤ちゃんを抱っこしたワケさんのささやき…
「ネコより…重いです…。」
(猫基準なんですね…)

結婚し離職した後も赤ちゃんを連れて訪ねて来てくれるというのは、
本当に嬉しいです。
今日は赤ちゃんパワーで心穏やかなひと時を過ごすことができました。
次回またどれだけ大きくなっているか、子供の成長が楽しみです。

eriさん、産休に入ります
当院も有能なブロガーが育ちつつ有り、しばらく出番がなかったのですが、
今回は私 ( 院長:長谷川) が書かせて頂きます。いつも明るく、患者さんにもスタッフにも、そして私にも優しい
人気者のeriさん、当院でお勤め頂き4年目になりますが、
6月初旬より、ご出産のためしばらくお休み(産休)となります。ほぼ同期入社のmomokaさんと
見ての通り、出産ギリギリまでお手伝い頂きました。
5月の引っ越しの時も、おなかが大きいことを忘れてしまうほど目一杯頑張っていただき、
見ていてハラハラしていました(どうもありがとう)。去年の8月、ご結婚されたのはご報告させて頂いたとおりですが(ブログ参照 2017年8月1日)
さすが、仕事の出来るeriさん、人生設計においても着実に結果を出し続けているようです。遠くは yuko さんから始まり
haruna さん
chizuko さん
risa さん
tsubsa さん と今ご勤務頂いているスタッフの中でも、たくさんの方が当院勤務中にご出産され
現在子育てとお仕事を立派に両立されています。言葉で言えば簡単ですが、お一人お一人が、きっと大変な思いをしながらも
クリニックのため、そして患者さんのためにご努力して頂いています。
尊敬の念を禁じ得ません。eriさんも、まずは無事赤ちゃんをご出産されるよう、スタッフ一同ご祈念申し上げます。
そして、少し余裕ができましたら、是非とも(無理のない範囲で)ご復帰頂けるのを
お待ちしています。出産は大変ですが、それを超えた、大きな喜びがありますよ。
吉報 お待ちしています。院長お誕生日会&お食事会
みなさんこんにちは!
歯科衛生士のkieです♪
ゴールデンウィークはいかが過ごされましたか?
長谷川亨歯科はみんなで力を合わせ仮診療所への
お引越しをしていました!!
そして院長がお引越し作業期間2日連続で
お食事会を開いてくださりました♪
1日目は馬喰という馬肉専門のお店でした♪
馬刺しから始まり、サーロインステーキ、すき焼きのお肉、
唐揚げまでぜーんぶ馬のお肉でした♪
どれも柔らかくて馬肉にはまりました!!
まるで女子会♪♪
とっても大盛り上がりでした(^^)
そしてそして!
院長のお誕生日前日ということで
誕生日のお祝いをしました!!
いつもスタッフの誕生日会を開いてくださるので
今回はスタッフみんなからサプライズです♪
当院にアルバイトできてくれているMaoちゃんが協力
してくれたおかげで大成功(*゚▽゚*)
院長とっても嬉しそうです♪
なんと…!
今回のお食事会に参加できなかったyukariさんが院長へのプレゼント
としてワインをお店に届けていてくれていたのです!!!
くーーー!男前すぎてスタッフ一同感動でした♪
さすがyukariさんです♪
2日目はもんじゃ焼き、鉄板焼きの木村屋さんへ♪
この日はお誕生日当日だったので
院長お誕生日おめでとうございま~す!
と乾杯しました♪
明太もんじゃ最高でした♪♪
2日連続笑いの絶えないお食事会でした(^^)
新しいスタート
こんにちは。
お久しぶりに登場のmomokaです。
最近は天才ブロガーのyukariさまにブログを任せっきりでしたので、たまには…
他の人も書かせていただきます。(yukariさまには足元にも及びませんが…)
さて、桜も散り、ほんの少しずつ暖かくなってしました今日この頃、
皆さまはどうお過ごしでしょうか?(私はマラソンに目覚めました。)
新しい一年がスタートする4月ですね!
我ら長谷川亨歯科は、3人の新入社員と新しい先生を4人迎えました。
今回、歯科衛生士のmomokaさん(私と名前かぶり)、歯科助手のyumikoさん、manamiさんと
ドクターの馬場先生、加藤先生、合計5名の歓迎会が開催されました。
14人という団体で丸の内にある、リマージュさんにお邪魔しました。
お口取り、ウェイターさんから詳しい食材の説明がありましたが忘れました
新入社員の3人はとてもフレッシュで可愛らしいです。
これからの活躍に期待しております。馬場先生は、北海道出身でとても愉快な先生です。
加藤先生は、美人三姉妹の次女で、とても美人です!!!
14人でとても楽しい時間を過ごしました。
本日も、院長先生は、ワインが進みます。
診療中は、キリッとしていて、真剣な表情がとてもカッコいい院長先生ですが、
お酒を飲むと、笑顔がとても愛くるしくて可愛いです。(ギャップ萌え)
診療のストレスのためか飲みまくる院長 と メインディッシュのお肉
人数が増えて、また、一段と賑やかになりましたが、
仕事のレベルは更に上げて行きたいと思っております。
新入社員のmanamiさんは、忙しい日の帰りに、
「今日、仕事楽しかったです!」と元気よく言っていました。
素晴らしいです。元気を貰いました。
みんなとてもいいこで、可愛くて仕方がないです。
そして、すへてをまとめる我がチーフ、saoriさん!
saoriさんは、仕事に対する姿勢が素晴らしくて、
一生懸命で、永遠の憧れです。
さて、食事の最後は全員で長谷川亨歯科の頭文字、
「ハ」のポーズでパシャり。(はじめてやりました)
いつも院長先生のおかげ様で、楽しい時間を提供してくださり、
仕事の向上心へとつながっております。
先輩としては、より患者様の満足していただける医院になるよう、
指導の方、頑張ります。
患者様、全員が笑顔でお帰りいただく。
そんな歯医者を目指しております。
では、長くなりましたが、これで失礼致します。
今回歓迎会がひらかれたお店は「リマージュ」です。
とても素敵でお料理も美味しくて雰囲気もお洒落でしたので、
是非足を運んでみてください。
(050-5869-4412)
愛知県名古屋市中区丸の内3丁目22番24号 名古屋桜通ビル 1F岡部先生 送別会
春の訪れとともに花粉も勢いを増しておりますが、皆様いかがお過ごしでしょうか。今年も鼻腔が大洪水の歯科衛生士横井です。3月は出会いと別れの季節、今日ほど女性スタッフの胸中に別れの切なさを刻ませたドクターはいないのではないでしょうか。本日は当院の光源氏、岡部先生が京都のご実家の歯科医院に帰郷されることとなり、送別会を執り行う運びとなりました。
岡部先生は聡明でありながら眉目秀麗、優しい京都の言葉がさながら現代版光源氏といった感じです。治療では、患者さんに痛みや不快感を与えないよう細心の注意をはらい慎重に麻酔を打っていらっしゃる姿が印象的でした。仕事も出来、さらに礼儀正しく常識的で、いわゆる女性目線から見る「イケメンの条件」にすべて当てはまる貴重な方だと思います。(現在彼女募集中)ご本人に好みの女性のタイプを伺いましたら、其の一)化粧はナチュラル(カラコンなど以ての外)其の二)年は若く清純な大和撫子タイプ当院で言うと、ささやき衛生士の和気さんのような女性でしょうか。しかし残念ながら彼女は生物では猫にしか興味がありません。
其の三)自分の言うことには何でも「はい」と返事をし、3歩下がってついてきてくれる女性いないことはないかもしれませんが、少なくとも当院の女性スタッフたちは、3歩先に行って更に見失ってしまうような人ばかりです。きっとどこかに岡部先生の未来のパートナーはいるはずですが、その姿は未だ霧の中です。
↑大人気です。
↑モテモテです。岡部先生がいらっしゃらない診療室はすっかり寂しくなってしまいましたが、京都のご実家での益々のご活躍をお祈りいたしております。
—-本日のお店—-ソウル屋 東新町店名古屋市中区栄5丁目5-5052-263-1414和気さん 誕生日会
2018年1月31日は、日本では36年振りの「スーパー・ブルー・ブラッド・ムーン」という珍しい皆既月食でしたが、皆さんご覧になりましたか?寒い夜に月を見上げていたせいか、なんだか腰が痛い歯科衛生士の横井です。今月は、ささやき歯科衛生士、和気(ワケ)さんの24歳の誕生日会です。今日は、水曜日の診療をご担当いただいております宮島先生も参加してくださいました。
和気さんは、ささやくように語りかけるので、その声は診療室ではバキュームやタービンの音にかき消されてしまいがちです。その上、彼女は会話の最後まで話しきらずに消えていくこともあり、謎に包まれることもしばしば。以前も診療室で、和気さんが私に何かをささやきました。「ョコィさン、…緑..の…….」そう言って彼女が消えていった後も彼女が言わんとしていたことは何だったのか気になり、真意を探るべく断片的に得られた情報だけを頼りに分析しました。思い浮かぶことは、診療時間中でしたので、「緑のアロマプライマー」「緑のコンタクトゲージ」「緑のエッチング」という歯科関連のものでしたが、真実は和気さんしか知りません。そう、真実は自ら探し求めないと手に入らないのです。「求めよ。さらば与えられん。尋ねよ。さらば見出さん。門を叩け。さらば開かれん。」聖書の言葉が私の脳裏に浮かびました。(無宗教ですけど)答えを知りたいと思った私は彼女に「緑の何?」と聞きに(わざわざ)行きました。そして、ささやきの神が答えをまたささやきました。「ヨコイさん、私の緑のボールペンを知りませんか?」答えがショボすぎて、聞くんじゃなかったと思いました。さて、お店は、寒い冬になると食べたくなる中毒鍋の「楽」です。
↑黒電話が今も使われています。名古屋コーチンと甘めの八丁味噌スープで中毒者を輩出する老舗です。(某スタッフは毎年ここの鍋写真を携帯待ち受け画面にして余韻を楽しんでいます。重症です。)鍋スープのあまりの美味しさに毎年飲みすぎて、女将に「もうこれ以上飲まないで下さい!」と厳しく躾られてきました。今年は飲みたい気持ちを押し殺し、堪え忍んだ甲斐あって空になったとんすい小鉢を見た女将から「スープを入れましょうか?」というまさかの優しいお言葉が!
↑昭和6年から使われ続けている87歳の鉄鍋太平洋戦争の名古屋大空襲では名古屋城でさえも焼失したのに、この鍋は健在です。食事会の終わりには、院長から誕生日ケーキが贈られました。
↑和気さんが家に帰ってからケーキの写真を送ってくれました。帰りの自転車でだいぶ揺さぶられた感がでています。
和気さん、お誕生日おめでとうございます。ーーー本日のお店ーーー楽
住所
愛知県名古屋市中区錦三丁目9-29
TEL
052-951-1125完全予約制内田さん、磯部さん、立松さんの誕生日会
朝夕めっきり涼しくなってきましたが、皆様いかがお過ごしでしょうか。
食欲の秋に負けっぱなしの歯科衛生士の横井です。
9月は、チーフ内田さん、サブチーフ磯部さん、歯科衛生士立松さんと
当院で最も誕生日を迎えるスタッフが多い月です.。
内田さんは、歯科衛生士の他に夏はサーファー、冬はスノーボーダーと
年中通して板が好きな方です。
磯部さんは、仕事帰りにジムに行き汗を流すのが好きというエネルギッシュな方で、
また今年も彼女は名古屋ウィメンズマラソン(42.195km)にエントリーされたそうです。
しかも、日頃の磯部パワーに触発されてか、もう一人のスタッフもエントリーしたという
事実を知り、大変驚きました。(磯部パワー拡大しています)
さらにそこで内田さんからまさかの「皆で出る?」と耳を疑うお誘いがありましたが、
私はすぐに目をそらしました。
どうやら当院は、仕事で疲れた体にムチを打って、更なる達成感を求めたくなる
という何かが蔓延しているようです。
立松さんは、入職当初から真面目で素直なとても可愛い後輩です。
表現力が大変豊かで、若さ溢れるオリジナリ造語を次々と発明し、
周りのスタッフとの年齢差を見せつけます。(もう私は完全についていけないです)
クイズ
以下の本日の高級フレンチのソースの色と泡立ち加減を見て
立松さんは何と表現したでしょうか。
答え:納豆
本日の誕生日会のお店はスペシャルです。
La Grande Table de KITAMURA
ご存知の方も多いと思いますが、古き良き日本の風景を残す名古屋の白壁で、
一流のフランス料理を堪能できるここラ・グランターブル ドゥ キタムラの
オーナーは、20世紀における最高のフランス料理人の一人
「世紀のシェフ」と称されるフレディ・ジラルデ氏に認められ、
スイスの「ジラルデ」にて副総料理長を任された方なのです。
お店もお料理も接客も全てが一流です。
かつて北村氏が、つたないフランス語で何通も何通も手紙を送り、
何とかシャルル・バリエ氏の元で
修行させてもらえることになり、やっと繋がった一本の線。
その線は、ジャマン タイユヴァン ジラルデと繋がっていきました。
最初は細く頼りない線であっても、途切れさせることなく、
太く強靱なものにしてきそたのは、間違いなく北村氏の熱意と努力、
そして感謝を忘れない心だったのでしょう。
北村氏がスイスのジラルデに修行で訪れた初日、敷地内に落ちていた
一枚の葉を拾いました。
北村氏はどのような想いでジラルデの入口に立ったのでしょうか。
その一葉はラ・グランターブル ドゥ キタムラで食事をする人は
実は誰でも目にしています。
メニュー表を広げると、左のページにその一葉はあります。
北村氏が30歳で世界最高峰のジラルデの敷地に足を踏み入れた時の想いが、
一枚の葉となって私たちを迎えています。
北村氏の最初の師シャルル・バリエ氏は、お客さんにパンを
プレゼントしたそうですが、北村氏も同じように自ら玄関に立ち、
私たち一人一人にパンをプレゼントしてくださりました。
内田さん、磯部さん、立松さんの決して満足せず、常に上を目指す高い志と、
北村氏の料理に対する想いとがシンクロし、今日は楽しいだけではなく、
心の琴線に触れる食事会でした。
お誕生日おめでとうございます。
グランターブルキタムラ
〒461-0018 名古屋市東区主税町4-84
TEL 052-933-3900
営業時間 11:30-14:30 / 17:30-21:30
定休日 不定休
桜通線 高岳駅 2番出口より徒歩12分
momokaさんのお誕生日会と宮島先生歓迎会
こんにちは
歯科助手のEriです

厳しい夏もそろそろ終盤となり、
夜は涼しい日も続いてますが皆様いかがお過ごしでししょうか
私事ですが先日sumieさん担当のブログにて
結婚の報告をさせて頂きました。
とても素敵に書いてくださり
恐縮するばかりでございます((( °ω° ;)))
ありがとうございました。
結婚式も終わり、一段落したのでこの夏はバーベキューに4回も行ってしまい、
案の定真っ黒くろすけに仕上がりました…(´・×・`)
早く肌が元に戻ることを願ってやまないわたくしが
今回ブログを担当させていただきます!
本日は
当院のムードメーカー
momokaさんのお誕生日会
と4月よりご勤務頂いている
宮島ドクターの歓迎会が行われました

お店は
イタリアン&フレンチ料理で人気の
【ジャングルジャップ】にて
隠れ家的なバーで
店内は
アンティーク調の家具がたくさん置いてある中、
壁に日本語で文字が並べられていたりと和のテイストもあり、独特でお洒落な雰囲気でした!
御手洗では落語が流れておりました⋆* ⁑⋆*
さて今回の主役、
宮島ドクターは見た目からもお分かりいただけるとおもいますが、
とっても優しい先生で
患者様にももちろんスタッフからも人気のある先生です
そんな宮島ドクターは一児の父
お休みの日は勤務の日よりも早くから公園でお子様と遊ぶというイクメンパパな一面を知ることが出来ました
momokaさんは
とても明るく表現豊かな女性で
、
いつも医院を大変盛り上げてくれるハセシカにはかかせない存在です
彼女は本当にいい子で素直で
表現力豊かで一緒にいてとても楽しませてくれます
そんなお2人を囲み、
乾杯!
そして
次々と素敵なお料理が運ばれてきました
どれも美味しくワインがとっても進みました
そしてバーということもあり、
ドリンクメニューがとっても豊富
店員さんが奥からヨイショと
持ってきて頂いた黒板にズラリとメニューが書かれており、
これにはスタッフ大盛り上がり&大興奮


フルールを贅沢に使ったカクテルをいただきました

(ここにも和のテイストが…
しかもこの傘開いたり閉じたりできるんです)そして店内には
ピアニストさんによる生演奏&生歌が…

素敵な演出にお話にも花が咲きます

そして盛り上がる中
なんと院長から素敵なサプライズが…



momokaさんのもとにプレートとかわいいキャンドルが、、、
このキャンドル、
とっても驚きな仕掛けがされており
スタッフ一同驚きの叫び声が店内に響き渡りました(興奮してすみません)
これを見てお店に行かれる方のネタバレになるといけないので詳細は伏せておきますね

(ぜひお店にてお試しあれ✩)
そしてお店の方からもう一つサプライズが、
お店でつけた自家製の梅酒
なんと今から半年後にちょうど美味しくなるそうで今から出来上がりが楽しみですね
(momokaさんいいなぁ…笑)
momokaさんのご自宅のベットの下で今頃肥やしてるころでしょう
そして最後には記念撮影


なんとピアニストの方と…!
ピアノ経験者のmomokaさん、
2人でデュエット演奏*。oOo。.:*
これにはスタッフ一同驚きでした~
素敵な1枚載せておきます
みんなでも記念撮影
とても楽しいひとときを過ごすことができました
momokaさんおめでとうございます
宮島先生 今後とも長谷川亨歯科クリニックをよろしくお願いします
お店の情報
JUNGLEJAP
住所 愛知県名古屋市東区泉2-23-8 タウンマンション泉1F
052-931-0777
♡幸せいっぱいeriさんの結婚式♡
こんばんは☆
食べる事と身体動かすことが大好きな歯科助手のsumieです!!
最近猛暑日が続いていますね~!!
みなさんはどのように暑さをしのいでいますか?
私は毎年のようにかき氷を食べ歩いて体をクールダウンさせています♪
只今の私の携帯の待ち受けはかき氷になっておりまーす♪
そんな話はさておき少し前になりますが7月16日に当院スタッフのeriさんの結婚式がありました✨
eriさんは応用的なお仕事もサクサクっとこなし気遣いができ大好きな趣味はとことん追求し極めみんなにユーモアを交えながらお話が出来る素敵な女性✨
そんな彼女の結婚式では今時でオシャレな高砂席や↓
自分で作ったオシャレヘッドアクセ↓
星型のウェディングケーキ↓
センスが光ってます!!
お料理も美味しく
そしてそして院長先生のスピーチ!!↓↓↓
感動の内容で院長素敵!って思いました!↓↓↓
感動で涙が出ましたがその私の涙を飛び越えて後ろの席から
「グスッグスッヒックヒック」っと泣いているmomokaさんがいました!!忘れられないスピーチです🎤
院長の奥様は空かさずシャッターチャンスを逃さないよう常に一眼レフを手にサササーっとベストポジションに走っておられました!さすがのカメラマンさんです!
チーフは食欲満点で美味しいお料理を沢山食されておりました!
その食べっぷりに感動しました☆その後も感動がたくさんありましたが
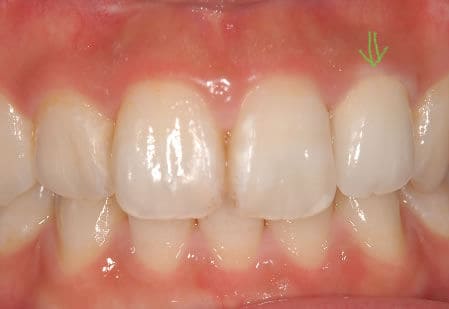
今回注目していただきたいのはなんといっても当院でホワイトニングを行なったeriさんの真っ白でキラキラ艶やかに光っている歯です!!↓↓↓↓↓↓
見てください!この素晴らしく光っている歯を!!!
当院でのホームホワイトニングとポリリン酸を行なった結果こんなにも素敵に輝く魅力的な歯になりました!↑↑↑↑↑
色の変わり具合に個人差はあると思うのですがここ最近で一番感動した出来事がeriさんの歯の美しさでした!!
私もやらせて頂きたいと思っちゃいました!やはり美しい歯は魅力のひとつですね!お顔がパッと華やかになります!
もともと魅力的なeriさんですがこの美しい歯を見て旦那さんもさらに惚れ込んだに違いないでしょう!
そんな素敵な幸せいっぱいの式でした☆
まだまだお伝えしたい幸せエピソードが沢山ございますがこのへんで失礼致します。
Eriさん末長くお幸せに~
THE 食事会
今年もまた梅雨の季節となりましたが、皆様いかがお過ごしでしょうか。
1日2回のおやつを控えめにしただけで、2kg減量した衛生士横井です。(やめるという選択肢は常にない)
本日の食事会は、当院ではもうすでに3月よりご勤務頂いております斉藤先生の歓迎会…のはずでした。
そのはずだったのですが、今日の歓迎会について当のご本人に誰もお伝えしておらず、残念ながら、斉藤先生はご予定がおありで、疾風のごとく帰って行かれました。(涙)
ということで本日は、これといって目的のない
THE 食事会!
です。
しかも、帰ろうとしている後藤先生を突如無理やり巻き込んで(後藤先生も今日の食事会を知らされていない一人)楽しく過ごしました。(笑)


場所はお馴染の囲炉裏料理「遥(はる)」です。
隠れ家的一軒家で静かな大人の空間を、当院の女性スタッフ達の有り余るエネルーで、大変にぎやかな場に変容させてしまいました。(うるさくしてごめんなさい)ここは店内がうす暗い(大人の空間なので)のですが、食材を炭火で焼いていくうちに徐々に煙が立ち込め、うす暗さ+煙で隣のテーブルのスタッフが霞んで見えます。(さらに奇声も聞こえてくる)

↑ 煙の中に浮き上がるスタッフ達
注)恐怖写真ではございません斉藤先生の分が余ってしまったので、ジャンケン争奪戦が始まりました。

後藤先生も参加、勝者はきりたんぽ獲得です

チーフ内田とDH立松のファイナル

勝者立松、満面の笑顔です(先輩に譲ろうという気持ちゼロ)
本日はメイン不在のため、これといってお伝えする内容もありませんでしたが、次回こそはぜひ斉藤先生を皆様にご紹介したいと思います。
次回へつづく…
ーーーーーーーーーーーーーーーー
本日のお店遥(はる)
愛知県名古屋市中区栄5-16-2
052-264-7797
営業時間 18:00~22:30(L.O.21:00)黒岩先生&長田先生 お疲れ様でした!
出会う喜び、別れの寂しさ、そんな思いが織りなす春が訪れましたが、
みなさまいかがお過ごしでしょうか。例年、多分にもれず花粉症の歯科衛生士横井です。
本日は、当院に長年ご尽力いただきました二人のドクターの送別会を
松坂屋本館9Fのグランファミーユ・シェ松尾にて執り行わせて頂きました。
月に2回ほど金曜の夜に、難しいケースの抜歯をご担当くださったドクター黒岩、
そして木・土曜日をご担当くださったドクター長田、お二人にこの度、
それぞれ別の道を歩んでいかれる時が訪れました。ドクター黒岩は、愛知学院の口腔外科の中でも卓越した技術と正確さ、スピード、
まさに一流のドクターで、愛知学院歯学部付属病院でもその名は広く知られています。当院でもあまりの速さに患者さんから「もう抜けたんですか?」という言葉を私も何度か聞いたことがあります。
院長からもドクター黒岩の抜歯は「速い!」とお墨付き!(しかし、その分アシスタントは大変なんです!)歯肉に埋まった親知らずをいとも簡単に摘出する様は、
まるでマジシャンが何もない所から鳩を出すようで、アシスタントに付きながらも毎回驚かされます。私が愛知学院の学生であった頃に、ドクター黒岩のアシスタントに付かせていたことがありますが、
当時の何も分からない学生でさえも、その神業とも思える抜歯術には圧倒されました。卒業してこちらに入職し、ドクター黒岩に再びお目にかかることができた時には、
またアシスタントとして付ける喜びに興奮しました。
(実際にはスピードに付いていくだけで必死で喜ぶ余裕は微塵もない)
ドクター長田は、院長から絶大な信頼を得るだけあって、短時間で審美的・機能的にも素晴らしい治療をされます。
患者さんにも十分な治療説明をされるので、患者さん自らドクター長田を担当医として指名されることもしばしば。
また、性格も穏やかで話しやすいという点も患者さんから慕われる要因だと思います。スタッフとも大変仲がよく、診療の空き時間には、休みの日に男友達たちと温泉に、
しかも日帰りで行ってきたという話をよく聞きました。(男友達もいいですがそろそろ彼女を…)そして、責任感が強く、ご自身の体調が悪い時でも、休まずに出勤されていました。
(一人暮らしの食生活の悪さが祟って尿道結石ができていたようです)その日は、よほど痛かったのか、患者さんの歯を削るタービンの音に
ドクター長田のうめき声が混じり、かなり不気味でした。(ほとんど怪奇現象)
さて、今回の食事会は院長の奥様ご推薦のフレンチレストランです。
和とフレンチの融合が愉しめる独創的なお料理を堪能しました。

途中、お店の方から写真を撮って頂き、今日の主役のお二人にプレゼントとして頂きました。


お料理の最後には、若いシェフらしき方がわざわざ挨拶にみえたのですが、
なんとその方、まさかのシェフ長!(見た感じ30歳)
若いからこそのアイデアが料理に活かされており、この齢にしてシェフ長というのもうなずけます。
そして、シェフ長が「院長の奥様(長谷川さん)から今日の食事会の前にわざわざご挨拶に来ていただきまして、ありがとうございました。etc.」
と仰った直後「勤務時間中に行ったな…」
と院長の鋭いつぶやきに、シェフ長は「あっ!えぇぇっと、まずいことを言ってしまったようで※↓△→」
と困った表情も素敵
(すみません、ただのおばさんです)長谷川さんはその日は勤務日でしたが、午後に消えた空白の時間があったような・・・
どうやらその時に行ってくださったようです。お二人への感謝の気持ちとして院長からプレゼントの贈呈で今日の食事会は締めくくられました。


懐かしい思い出がこみ上げ、万感胸にせまる思いですが、
今後のお二人の益々のご活躍とご栄進を院長はじめスタッフ一同心よりお祈りしています!
ーーーーーーーーーーーーーーーーー
[営業時間] LUNCH:11:00~16:00 (L.O. 15:00)
本日のお店
http://chez-matsuo.co.jp/restaurant/nagoya/sp/
所在地:名古屋市中区栄3-16-1 松坂屋名古屋店9F
電話番号:052-264-3644 (レストラン直通)
DINNER:平日 17:00~21:00 (L.O. 20:00) 土日祝 17:30~21:00 (L.O. 20:00)
定休日:百貨店に準ずる
ーーーーーーーーーーーーーーーーー
高橋先生の送別会&和気さんの誕生日会
春が待ち遠しい今日この頃ですが、皆様いかがお過ごしでしょうか。
毎年、夏から冬にかけて5kg増量する歯科衛生士の横井です。(予定値まであと1kg)今回は、水曜日をご担当くださった高橋先生の送別会と歯科衛生士和気さんの23歳の誕生日のお祝いとして、名古屋コーチン鍋の老舗「楽」にて、しばしの楽しい一時を分かち合いました。

高橋先生は、患者さんに大変優しく、また患者さんの声によく耳を傾け、きちんと説明してくださる親しみやすいドクターです。
1月で当院をご退職された後は、3月より野並駅近くにご自身のクリニックを開業される運びとなりました。
歯科衛生士の和気さんは、風に揺れるコスモスのように清純で、ささやくように患者さんに語りかける優しい歯科衛生士です。(時々聞こえない)
弱そうに見えて(胃は弱い)、意思表示はハッキリとしています。
今回の鍋は、以前も食事会のブログで磯部さんが美味しさについてご紹介しております。
鍋は最高の味を楽しんでもらえるように、具材を入れる順番も火加減も全て女将が取り仕切ります。
女将の「どうぞ」というGOサインがでない限り、鍋は触れてはいけない聖域です。


スープは名古屋コーチンでしっかりだしが出ており、八丁味噌が更に深みとまろやかさを加えます。
この極スープで中毒者が続出し、スタッフは2杯、3杯と飲み干していきます。
鍋のスープがすっかり減ってしまったところで、また女将が登場。
明らかに減った鍋を見据えて「もうこれ以上飲まないで下さい!」と鋭い眼光で喝を入れて消えていきました。(この威風堂々たる姿は不動明王さながら)鍋にネギは付き物ですが、ここのネギは直径5cmほどある見事なネギです。
肉質が柔らかく甘みがあって大変おいしいのですが、主役の一人の和気さんが「ネギ…苦手です…」とささやきました。
優しい高橋先生は、苦手なネギだらけの鍋を目の前に固まる和気さんに「俺のクタクタになったネギ食べる?」と気遣っていました。
食べかけのネギを喜ぶ人はあまりいないと思いますが、これもきっと高橋先生ならではの優しさなのでしょう。(和気さんはハッキリと「いらないです」と断っていました)

創業当時から使われ続けている86年ものの鍋↓

中毒鍋完成(スープ飲用禁止)↓

〆その1(名古屋きしめんバージョン)↓

〆その2(名古屋コーチン半熟卵かけごはん)↓

ある中毒者のスマホ待ち受け画面(イニシャルIさんです。要治療)↓

食後のデザートが運ばれ、食事会の終わりを告げます。
高橋先生に感謝の気持ちとこれからのご活躍を祈り、院長よりプレゼントが渡されました。

高橋先生にはエルメスの靴べら。

和気さんには、彼女のイメージにピッタリのピンクの花束です。
23歳おめでとう!
有望な歯科医師となって巣立っていく姿を見送る院長にとっては、今日の食事会は感慨深い思いであったのではないでしょうか。
今後の高橋先生の出世栄達を院長はじめスタッフ一同、心より願っております。

ーーー本日のお店ーーー
楽
住所
愛知県名古屋市中区錦三丁目9-29
TEL
052-951-1125ぽぽろという名のもつ鍋屋。
こんにちは。
従業員のmomokaです
。
いつもブログを覗いて下さる方、ありがとうございます。今回の、集まりは、新しく長谷川亨歯科クリニックに仲間入りした、
歯科医師の後藤先生の歓迎会です。
これから、よろしくお願い致します。
もつ鍋屋の「ぽぽろ」さんにお邪魔しました。
ぷりぷりのもつ鍋。
みなさんの会話が盛りがりました。
お鍋っていいですね。
暖かいし、一緒に食べると絆が深まる感じもします。
チームワークを活かして、仕事もスムーズに出来るよう頑張りますので、今後も長谷川亨歯科クリニックをよろしくお願い致します。

*鍋屋ポポロ 栄本店
住所 *愛知県名古屋市中区栄5-6-34エニカビル6F忘年会2016
こんちには、お久しぶりです!
歯科衛生士のaikoです。診療最終日に忘年会がありました。
今回は水曜日の先生、高橋先生も来ていただきました!
カニが甘くておいしい~!


先生もカニしゃぶ~!


そして突然、高橋先生のPPAPが始まります。
先生、ノリがよすぎます
「もうちょっとやれたな~」
と悔しがるところもおもしろいです。今年は、先生や先輩とのお別れもありましたがその分新たな出会いもあり
そして、幸せな報告をたくさん聞くことができました(^_^)
さて、お腹もいっぱいになったところで
二次会はカラオケです!カラオケルール

座った順番に1人1曲ずついれます、(とぎれさせないように!)歌うのは1番だけで次の人に交代です。
ドンドンまわっていきます。(笑)どんなに盛り上がってても1番が終わったら演奏中止ボタンを押すチーフの進行がすばらしい!と院長先生(^.^)
またまた始まるPPAP
高橋先生リベンジです!
助手のeriさんと相性ばっちり!
恋ダンスもあり、盛り上がりました\(^-^)/
とても楽しい忘年会でした。
院長先生ありがとうございました!
今年もご来院頂きありがとうございました。
皆様に満足して頂けるように、
来年も今年以上に頑張っていきますので、よろしくお願い致します。ーーー本日のお店ーーー
札幌かに本家 栄中央店
〒460-0008 愛知県名古屋市 中区栄3丁目8-28
052-263-11613名の合同誕生日会 ~ Settanta 名古屋 泉
さて、今回のお誕生日会は、
泉のイタリアン セッタンタ (Settanta)
で開かれました。
Settantaは開業してまだ数年のお店ですが
、
あっという間に押しも押されぬ名古屋を代表するイタリアンレストランになった(食べログ 3.66) 有名店です。
なぜこんなに気合いが入っているかというと
saoriさん、sumieさん、kieさんと
長谷川亨歯科クリニックの屋台骨を支える3名の合同誕生日会だからです。saoriさんは総括チーフとして
sumieさんは歯科助手のとりまとめ役として
kieさんは新人ながらベテランばりの安定度で仕事をバリバリこなす
新進気鋭の歯科衛生士です。
落ち着いた雰囲気の中、誕生日会は始まりました
これは・・・ウニですねえ
美味しゅうございました。
そしてこれは・・・・フォアグラのシャーベットソース
美味しゅうございました。
パスタは・・・・ 白トリュフとか
これは誕生日の方 3名限定でして・・・私は食べてないのですが・・・・
推定 むちゃくちゃ美味しゅうございました。
もちろんパスタのみでもかなりイケてます。
メニュー全品紹介できるとよいのですが、
紙面の都合上はしょって・・・メインはお約束の
フィレ肉でした。
美味しゅうございました。
お誕生日の方には、このようなバースデープレートとカードが用意され
みんなで3名のお祝いをさせていただきました。
あと、カフェラテアートとか・・・
ちなみに、メインデイッシュあたりから、院長は 体内ワイン濃度がほぼ飽和点に達し
翌日ほとんど記憶に残っていない状態であったそうな・・・
最後に水口シェフにご無理を言って一緒に記念撮影をしていただきました。
みんなでとても楽しいひとときを過ごすことが出来ました。
saoriさん、sumieさん、kieさん
これからもよろしくお願いします
8月お誕生日会(2名)、歓送迎会
こんにちは(^^)
ブログの担当をさせて頂きます、新人衛生士のkieです♪
更新が遅くなってしまいましたが…
今回は歯科助手momokaさん、衛生士yukariさんのお誕生日会&衛生士mikiさんの送別会&
歯科助手yuuriさんの歓迎会と内容盛りだくさんなお食事会でした*\(^o^)/*
吉成先生と高橋えり先生も参加してくださりました!
では、今回の主役の紹介をさせて頂きます☆
まずはお誕生日のお二人♪
momokaさんはいつもニコニコしていて、明るくてみんなを盛り上げてくれる
ムードメーカーです!!そして仕事ではテキパキとしていていつも助けてくれる
とても優しい先輩です♪
yukariさんはお話がとってもおもしろく、いつもみんなを笑わせてくれます!
とても物知りで、質問になんでも答えてくれてとても頼りになる衛生士の
先輩です!
お誕生日おめでとうございました(*^^*)
そして5年間長谷川亨歯科を支えてくれたmikiさん!!
今までお疲れ様でした♪
mikiさんはいつも周りを気にかけてくれてとっても優しく
丁寧に教えてくれる先輩でした!
少しの間でしたが一緒に働けて幸せです(>_<) mikiさんに教わったことを忘れずこれから私も頑張っていきます!
最後に…!歯科助手のyuuriさんが新しく長谷川亨歯科メンバーに加わりました♪いつも素敵な笑顔で癒されます!!
未経験とは思えないほど覚えるのがはやくいつも驚いています!
私の方がyuuriさんに頼ってる時があります(笑)
これからよろしくお願いします(^o^)/
今回のお店もとってもオシャレでおいしかったです♪
クスクスを使った料理など普段なかなか食べられないものやオシャレな前菜…
ドリンクコーナーにはシェイカーがあり、バーテンダーさんのような真似をしながら
カクテルを作りあいっこして楽しかったです☆
美味しいごはんと美味しいドリンクと素敵なメンバーでお食事ができて幸せでした!
院長先生ご馳走様でした!
いつも素敵な時間をありがとうございます(^o^)
夏休み ~ 越中八尾 おわら風の盆
9月になりましたが、長谷川は遅い夏休みをとって、おわら風の盆に出掛けました。
おわら風の盆
https://www.yatsuo.net/kazenobon/guide/guide03.html名古屋から車で約3時間半で富山市へ。八尾は富山市から車で約30分です。
街全体にぼんぼりが灯り、幻想的です。
9月1、2、3日がお祭り本番で、その期間、三味線、胡弓、そして、とうとうと唄いあげる「おわら節」に乗って、若い男女が街を優雅に、そして(男性は)力強く練り歩きます。
八尾には11の町(町内)があり、それぞれの街が独自の踊りを競うように、あちこちで披露します。
3日間でこの小さな街に25万人の観光客が訪れるとの事、覚悟していましたがすごい人出です。
夕刻から11時30分まで楽しみましたが、夜通し踊りは続くとのこと。また、観光客の少なくなった深夜こそ、おわら風の盆、本来の趣向を感じることができるとのことですが、5時間以上、ビールを飲みながら坂道を歩きまわり、ヘロヘロ状態で、これ以上は自主ドクターストップということで、後ろ髪を引かれる思いで、八尾をあとにしました。
短くも楽しい夏休みでした。
明日から、また診療に頑張ります。土曜丑の日
炎暑しのぎがたいこの頃ですが、皆様いかがお過ごしでしょうか。
暑さにめげない無敵の食欲の歯科衛生士横井です。
今年の土用丑の日は7月30日です。
皆様もきっと美味しいうなぎを食されたかと思います。
当院は毎年この時期になると、お昼の診療時間を少しだけ早く切り上げ、江戸時代創業の老舗うなぎ店「木屋」さんで昼食にひつまぶしを頂きます。木屋さんのうなぎは、仕入れてから井戸水に放して、活きのいい状態でさばくそうで、とても新鮮です。
そして、備長炭でじっくり焼き上げ、100年以上使い続けている秘伝のタレで仕上げます。
ご飯は玄米で仕入れ、精米し、釜で炊き上げます。
こんなに贅沢なひつまぶしが頂けるとあって、スタッフ全員足早に席につき、話す間も惜しんで美味しいうなぎを堪能しました。
うなぎは奈良時代から「夏痩せ予防」に効果的だったようで、大伴家持の万葉集の歌にも
石麻呂(いしまろ)
に 吾れもの申す 夏痩せに よしといふものぞ 鰻(むなぎ)とり食(め)せと歌っています
よほど石麻呂は夏痩せしてしまったのでしょうか。
大伴家持は、夏痩せにはうなぎが良いらしいから捕って食べなさい、と歌っています。
(夏バテの上に自力でうなぎを捕れというのは過酷な気がしますが、これも愛情なのでしょうか)夏バテ解消に効果がある栄養素には、ビタミンA、ビタミンB群、ビタミンC、クエン酸などがありますが、うなぎはビタミンC以外の栄養素をほとんど含有しています。
ウナギを食した後にフルーツなどでビタミンCを補給すれば完璧です。個人的には、夏痩せでも何でもいいので痩せたいのですが、連日の猛暑で食欲不振にお困りの方には、木屋さんのうなぎがおすすめですよ。
今日のお店紹介
鰻 木屋
名古屋市東区東外堀町11
11:00~13:30 17:30~18:30
(夜は予約制)
日曜・祝日 定休日
052-951-8781祝! tsubasaさん ご結婚
当院の若手歯科衛生士 tsubasaさんの結婚式と披露宴が去る6月5日(日 大安)にありました。
当クリニックからは、私(院長)夫妻はじめ、4名が出席させていただきました。
長谷川は結婚式が好きです。
皆幸せそうですし、
何たって明るい未来を感じます.さて、新婦のtsubasaさんは、愛の結晶がお腹にいたり、とても頼りがいのある新郎との 年の差婚であったり、話題性の高い結婚披露宴でした。
tsubasaさんのお人柄か、たくさんの祝辞やパフォーマンスでお祝いされ(不詳 ハセガワも祝辞を述べさせていただきました)、幸せいっぱいのお二人でした。
tsubasaさんの出身校である、愛知学院大学の稲垣教授もご出席され、長谷川歯科クリニックテーブルは大いに盛り上がりました。さてクリニックの内情ですが、tsubasaさんには、結婚後も身重ながらしばらく御勤務いただいたのち、8月頃より出産・育児休暇に入ります。
ぜひ健康なかわいい赤ちゃんを産んでいただき、休暇後も、歯科衛生士として当院で腕を振るってくださいね。
tsubasaさんの、幸せなご結婚生活、ご出産を心よりご祈念申し上げます。
お別れ会
こんにちは


今回のBLOGを担当させていただきます、
歯科助手のERIです。さて、
今回は、火曜日ご勤務していただいていた足立先生のお別れ会の模様をお届けします
足立先生は鳥取県出身で、
愛用のボールペンは名探偵コナンのキッド様ボールペンと、
鳥取愛に満ちた先生です


またとっても優しい先生で、
当院にご勤務させるようになってから、わずか一ヶ月で足立先生希望の患者様が出るほどでした…

火曜日の勤務後、
スタッフほぼ総員でのお別れ会START


火曜日は夜間診療を行っている曜日なので
遅めのスタートでしたが、レバーのお刺身や生エビ、
お好み焼きにもんじゃ焼きなど美味しい料理と楽しい会話に
大盛り上がりでした



院長先生は、お誕生日にスタッフからプレゼントしたポロシャツとベルトで参加し、
スタッフから好評でした



美味しい料理も食べ尽くして
会もお開き、、、かと思いきや
院長先生から足立先生へお別れの言葉と、
プレゼントが・・・・


そしてなんと足立先生から院長、そして私達スタッフにまで
プレゼントを用意してくださってました



院長をはじめスタッフ一同驚き…



最後まで優しい先生でした


足立先生、
今までお世話になりました。そして院長先生、今回もご馳走様でした


お店の情報
木村屋本店
住所 : 〒460-0008 愛知県名古屋市中区栄5-10-35
電話 : 052-252-0222tsubasaさんお誕生日会、kieさん歓迎会
こんにちは。お久しぶりです。
歯科衛生士のaikoです。先日、歯科衛生士のtsubasaさんのお誕生日会と
4月から仲間入りした歯科衛生士のkieさんの歓迎会がありました
今回は
吉成先生と長田先生にも来ていただきました!
tsubasaさんは私の1つ上の先輩です。テキパキ仕事をこなし、いつも明るく、頼れる先輩です!かっこいいです!
kieさんは勉強熱心で、仕事もすぐ覚えてくれて頑張り屋さんです。が、普段はふわふわしていてかわいいです!今回のお店もおしゃれで、お料理はとてもおいしく会話も弾みます!

そしてtsubasaさんに、お誕生日ケーキが。
おめでとうございます!さて、二次会はカラオケです!
参加人数が多くて、お店は貸し切り状態でした。1番を歌ったら自分で演奏停止を押して
次のかたへ交代です。
どんどんまわって行きます(^.^)カラオケも大盛り上がりでした!
とっても楽しかったです!

院長先生、今回も楽しいお食事会ありがとうございました。
本日のお店
SYON シオン
住所:愛知県名古屋市中区丸の内1-9-6 桜井BLD 1F 通路奥
電話:052-204-1297カラオケバー pin point 052-953-3091
1月のお誕生日会記録
こんにちは。
今回ブログを担当しますのは
長谷川亨歯科クリニックで働き始めて
◯年の運動&食べることが大好きな
歯科助手の磯部です。
今回、ブログをアップするのが遅れてしまい
少し前の出来事ではありますが、、、
1月に開かれた
ベテラン歯科衛生士秋山さんと
若手歯科衛生士和気さんのお誕生日会で
名古屋コーチンで有名な《楽》へ
連れて行って頂きました。ここは院長行きつけの
名古屋人ならこの味でしょ!っと言う
鳥みそ鍋が美味しいお店。2つのテーブルに分かれて
それぞれの鍋を
みんなでつつきました🎶だしのきいた味噌味のスープが
やみつきで私がいたテーブルは
あっという間にスープがなくなり
お店の方が一所懸命
おだしと味噌を
足して足して足してくださりました!そして院長がここは締めが2回もくる!
っと興奮していまして
ん?どういう事でしょう?と
不思議に思っていたら、、、第1弾目↓↓
き~し~め~ん~が投入され
麺に味噌スープが染み込み
とんでもなく美味しそうなしめが
出来上がったではありませんか~!!!もちろん味は~
おいし~♡✧。(⋈◍>◡<◍)。✧♡
っと一息ついていたら
ご飯&名古屋コーチンの
た~ま~ご~投入!!!!
たまらないこの美味しさ!
しめ2回目だと言うのに
箸が止まりませんでした!そして締めが終わった後には
とーっても素敵な花束が
秋山さんと和気さんの手に!お二人のそれぞれのイメージに
合わせた花束だそうで
とっても良くお似合いです。そしてこの日2軒目に
ここもまた院長行きつけの
マジックバーへ。定番のフォーク曲げが始まったのですが
どんなにどんなに近距離で見ても
種も仕掛けもわからず不思議で不思議で
仕方なかったです!クライマックスには
トランプに手書きでみんなの目の前で
名前を書いたトランプが
なぜか冷蔵庫の中の
お茶のペットボトルに
瞬間移動していてたと言う。。。ほら!院長もカメラに向かって
『種も仕掛けもありません』
と表しているのにもかかわらずこの結果!↓
みんな頭の中が?????のまま
拍手喝采でとてもとても
素敵な心に残るお誕生日会でした。秋山さん、和気さん
お誕生日おめでとうございます。
素敵な1年にしてくださいね。そして院長先生
ありがとうございました。名古屋コーチン味噌鳥鍋~楽~
〒460-0003
愛知県名古屋市中区錦3丁目9-29magic bar momentos
(マジックバーモーメントス)愛知県名古屋市中区錦3丁目18番6号山清びる7F
忘年会
心せわしい年の暮れ、皆様いかがお過ごしでしょうか。
鍋太り衛生士横井です。
今年も残すところあと僅かとなり、忘年会シーズンが到来しました。今年は院長をはじめ吉成先生、武田先生そしてスタッフ全員で札幌かに本家にて、一年の労をねぎらいました。
今回皆様に初めてのご紹介となります吉成先生は、ペリオ界(歯周病治療)のゴッドハンド、私たちが敬愛してやまない名医です。
歯周病が進行し、保存が難しいと思われる症例が、吉成先生のピーキュア(歯の根の周りにこびりついた歯石を取り除く治療)によって抜歯を免れたというケースは幾度となくありました。(ほぼ神!)武田先生は月曜日のご担当で・・・
実は私は(月曜休み)ほとんどお会いする機会がないため、皆様へのご紹介は以下の写真でフリースタイルで感じていただければと思います。↓

下の写真は残り少なくなった鍋の具(蟹~野菜)を、ジャンケンで順位を決め、勝者から好きなものを食すことができるという過酷なシーンです。(弱肉強食)
最下位は吉成先生で人参をご獲得。(ゴッドハンドと言えど容赦なしのスタッフ~)今年一年を振り返ると、器具の故障や、小さなミスなどございましたが、スタッフの連携と院長の燃えるDIY魂で小難を無難にすることができました。
当院に厚い信頼を寄せお通いくださる皆様、今年一年ありがとうございますした。
皆様に支えられ素晴らしい一年でした。では、皆様よいお年を。
ーーー本日のお店ーーー
札幌かに本家 栄中央店
〒460-0008 愛知県名古屋市 中区栄3丁目8-28
052-263-1161eriさんのお誕生日会♡
こんにちは。
歯科助手のmomoです。
今回は歯科助手のeriさんのお誕生日会でした。
院長のオススメのフレンチへ。とても素敵なお店で、雰囲気も良く料理もお酒もとても美味しいです\(//∇//)\
eriさんはとっても面白くて可愛くて仕事もテキパキとこなす、みんなのアイドルです!
クレヨンしんちゃんのモノマネが得意です\(//∇//)\eriさんは、とっても明るくて、当院のムードメーカーです!
—本日のお店—
アンティキ (Antichi)
愛知県名古屋市東区上竪杉町25
052-951-5622もつ鍋!
こんにちは。
新人歯科衛生士のaikoです。(半年たちました)本日は、金曜日の先生方とお食事会でした。
岡部先生は、背が高くていけめんです。治療中にかけているメガネが似合ってます。実家が京都ということで、京都弁(?)も似合っています!
黒岩先生は、外科の先生で、月に2、3回ほど金曜日の夜間にみえます。難しい親知らずの抜歯をやられています。先生の抜歯はすごくはやくてびっくりします。今回は、もつ鍋でした。
9人で15人前も頼んでしまいました。おいしくいただきました!お腹いっぱいです。普段あまりお話する機会のない先生方と
楽しい時間を過ごすことができました(*^_^*)院長先生ありがとうございました!
saoriさん、sumieさん誕生日会
虫の声が秋の訪れを告げる今日この頃、皆様いかがお過ごしでしょうか。
食欲の秋がすでに始動している成長期の衛生士ヨコイです。今回は9月にお誕生日を迎えるチーフsaoriさんとアシスタントsumieさんの誕生日会で、とらふぐと寿司の名店「龍文支店」にお邪魔しました。
年中天然とらふぐを出すと聞き、さぞ敷居の高い店だろうと想像していましたが、連棟長屋造りの一戸に店を構え、入口の暖簾にはお茶目なキャラクターが描かれており、暖簾をくぐる前に気持ちが和みます。
新人衛生士のaikoさんがキャラクターと同じポーズをして皆を笑わせてくれました。(私がやったら病院送りです)チーフsaoriさんは、堅実に積み重ねた臨床経験と持ち前の実行力、判断力を兼ね備えた、当院の誰もが認めるスーパー歯科衛生士です。
アシスタントsumieさんについては去年も紹介させて頂きましたが、真面目で几帳面な性格でいつも仕事をキッチリとこなします。
そして仕事帰りにジムのズンバダンスで一汗かくのが気持ち良いと、かなり活動的な方です。今日は土曜日だったので、嬉しいことに長田先生も参加してくださいました。
長田先生は院長からの信頼も厚く、私たちスタッフからも頼りにされ、その実力は長田先生を希望される患者さんの多さにも表れています。
性格は寡黙(独り言は多い)で真面目で素敵な方です。こちらで頂いたお寿司は、私が今までに食べたことがないくらい美味しく、ネタの新鮮さとシャリの程よい握り加減が口の中で溶けていきます。
そして、大将の軽快なお話が楽しい食事のアクセントとなり、笑いの絶えない食事会となりました。今回の誕生日会はなぜかいつも以上に皆 お酒が進み、途中から記憶をなくしたスタッフもありましたが、(高級寿司を食べたにもかかわらず、記憶がないという…) そこは、チームワークが持ち味のhase歯科、saori隊長、ヨコイ主任からなる救急レスキューチームで乗り切りました(大変でした)。
いつも粋な院長は、saoriさんとsumieさんに誕生日のプレゼントとして花束を贈呈、そして長年hase歯科を支えてくれる吉田さんには感謝の花束を渡されました。
吉田さんは緊急なお願いでもいつも快く引き受けてくれ、本当に助かっています。いつもどんな時も支え合える仲間の有り難さや、人の温かさに触れられた1日でした。
今日も感謝です!
—本日のお店—
龍文支店
名古屋市東区筒井3-9-12
052-937-2133うなぎで、元気に!
こんにちは

歯科助手のeriです( ・ᴗ・ )⚐⚑⚐今年の夏も大変暑いですが、
皆様いかがお過ごしでしょうか。当院の夏は毎年恒例のうなぎを食べに行き、
元気に診療しております

その模様がこちら。
毎年お邪魔してる木屋さん、
なんと院長先生の同級生の方のお店なんです!
すごいですねぇ
本当に美味しくて幸せなひと時でした


院長先生今年もありがとうございました!
さて、
まだまだ暑い日が続きますが、
皆様体調にお気をつけてお過ごしください(。•ﻌ•。)長谷川亨歯科クリニックでは、
夏の間受付にてお水をお配りしております。是非ご利用くださいませ✩
それでは失礼致しました。
お店情報
鰻 木屋 (うなぎ きや)
TEL・予約 052-951-8781
愛知県名古屋市東区東外堀町11momokaさん、yukariさんお誕生日会
はじめまして。
新人歯科衛生士のaikoです!(初ブログなので緊張しています。)本日は、momokaさんとyukariさんの
お誕生日会でした!momokaさんは、普段はふわふわしていて不思議な雰囲気がありますが、仕事はテキパキとこなす頼れる先輩です!
笑顔がステキでかわいいです!
yukariさんは、お話がとてもおもしろく、分からないことを聞くとていねいに教えてくださる先輩歯科衛生士さんです!いつもかわいい靴下をはいています!

今回は、すっぽん料理でした。
人生初すっぽんはとてもおいしかったです。すっぽんをさばいているところを目の前で見ることができたり
他のお料理も全ておいしく、素敵な時間を過ごすことができました。そして院長から花束が(^_^)
momokaさんはピンク、yukariさんは紫の花束で、お二人のイメージにぴったりでした!!
お誕生日おめでとうございます!すっぽんパワーで明日からも
お仕事がんばります!お食事会ではみなさんといろいろなお話ができとても楽しいです!
院長先生ありがとうございました。たつ巳 懐石・会席料理、割烹・小料理
TEL 052-962-7775
住所 愛知県名古屋市中区錦3-9-15
http://tabelog.com/aichi/A2301/A230103/23013647/dtlrvwlst/1848338/CBCテレビ ”ゴゴスマ GO GO!Smile”に出演しました
去る 7月7日(火曜日:七夕)のお昼に、名古屋の地方局であるCBCテレビの ”ゴゴスマ GO GO!Smile”
の中の特集「あなたもかかっている!?実はこんなに怖い歯周病」の解説者として出演しました。テレビ出演は、その番組の企画責任者の方から電話で依頼があるのですが、今回は結構急な展開でした。
テレビの取材は、当院スタッフの取材も含めて、今まで6回ほどあったのですが、それらのすべてが、いわゆる「収録」で、事前に撮影、編集し、放映されるモノでしたので、あがり症の長谷川が撮影中ひどい失敗をしても、すばらしい編集技術でカバーしてもらえたのですが、今回は「生放送でお願いします」との依頼でした。
生まれつき楽観的な性格の私は、「キチンと練習して挑めば何とかなるだろう」と考えていたのですが、数日前にほんの10分ほどの事前打ち合わせと、前日の電話打ち合わせ。そしてあとは、当日の10分ほどの打ち合わせで、いきなりリハーサル、そしてその30分後に本番でした。
13時55分からの番組で、ほぼ冒頭での特集という事で、13時までの診療を12時30分で切り上げて、お迎えの車で局に。局の楽屋では、林修先生や井森美幸さんのお部屋の間に、不肖 私の名前が・・・ 。
楽屋にはお弁当が用意されていましたが当然のどを通らず、持ち帰りました。リハーサルで、MCの石井亮次さんが、テキパキとそしてスムーズに、緊張しまくりの私はじめ他の出演者の進行をコーディネートされていて、「ああ、この流れに沿っていけばいいんだな」と少し安心し、気持ちが落ち着きました。
さて本番は・・・・自分でも何が何だか解らないうちに終わりましたが、致命的な失敗をやらかすことなく何とか終えることが出来、ほっとしました。
短い時間でしたが、局のスタッフの皆さまがとても優しく接して頂きありがたかったです。
ちなみに、生放送での大失態を予想して、出演することはほとんど誰にも言いませんでした。
めでたし、めでたし・・・・。tsubasaさんお誕生日会 and aikoさん歓迎会
こんにちは。
歯科助手のeriです
今回はわたくしがブログを担当させて頂きます。
(当院随一の、天才ブロガー 横井歯科衛生士 《 別名 ブロガー横井 命名:院長 》 直後のご指名でしたので、プレッシャーで指がなかなか進みません)だんだんと暖かい日が続くようになりましたね。
スタッフも半袖で出勤される方がいたりと春…いや、夏の訪れを感じました…さて、
今回は4月で長谷川亨歯科勤めて一年になるtsubasaさんのお誕生日会と、
4月から仲間入りしたaikoさんの歓迎会が催されました( ˘ω˘ )tsubasaさんは美味しいものに目がなく(食いしん坊)、いつも美味しいお店の情報を提供してくれます。
そしてまだ若いのに温泉が大好きでよく下呂温泉に行ったと報告を受けます。( ˘ω˘ )羨ましい。そんな彼女も4月で長谷川亨歯科に勤めて1年になります。
彼女はとっても明るく、長谷川亨歯科に元気を与えてくれています。そして、新メンバーaikoさん。
控えめでおしとやかな性格ですが、業務に取り組む姿勢は 熱いです!
お仕事も、一度教えると、スポンジのように何でもすぐおぼえて、どんどん吸収します。「最近器具機材の名前がスッと出ない、どうしよう」と真剣に悩んでいる院長とはちょっと違います。
aikoさん、一日も早く業務になれて、クリニックを盛り上げて下さいね。
今回は院長先生に東区にある アンティカローマ というお店に連れていってくださりました。
外観からとてもお洒落で、美味しいお料理にバックミュージックには生演奏 生オペラ と大変贅沢なひとときを過ごしました。最後にはケーキも登場し、
tsubasaさんの喜びも頂点に達しました。(﹡ˆoˆ﹡)
素敵なお食事会でしたね。
二次会ではてらっしーことmomokaさんが大フィーバーで、とっても盛り上がりました


院長先生いつも素敵なお食事会を開いて下さりありがとうございます



今回のお店情報
アンティカローマ
住所/〒461-0002
愛知県名古屋市東区代官町39-18
日本陶磁器センター1F/B1F
TEL/052-930-2770涙の歓送迎会
春の訪れとともに花粉舞い散る今日この頃、皆様いかがお過ごしでしょうか。
多分にもれず花粉症の歯科衛生士横井です。(どっぷり薬物依存中)出逢いがあれば別れもあるのが世の常ですが、当院でも神谷先生と歯科助手の栗田さんが3月をもちまして、退職されることとなりました。
神谷先生は愛知学院大学歯学部付属病院に助教として就任されることに、そして栗田さんはご懐妊というどちらも喜ばしい寿退社です。
そして当院には、4月からは神谷先生のご紹介により、足立先生が入職されることとなり、今回の食事会は矢場町にある囲炉裏料理「遥(はる)」にて歓送迎会となりました。囲炉裏を囲んで、神谷先生との診療思い出話や、足立先生を質問攻めにしたり、栗田さんの旦那さんとの出会いの話に黄色い歓声を上げたりと、焼きながら食べながら楽しい時間を過ごしました。
歓談に時を過ごしていましたが、自然と目頭が熱くなるのを抑えられません。
ふと横にいる磯部さんを見ると彼女の目にも涙が。
そして、テーブル越しの奥野さんと栗田さんも涙をこらえながら、真剣な眼差しで網の上の肉を焼いています。
苦楽を共に分かち合った仲ですから惜別の涙もうなずけます。
…と思いたいのですが、肉の脂が網の下の炭に落ち、異常なほど大量発生した煙が目にしみたせいでした… (磯部さん目が充血してますよ)↑肉は網の淵で焼いてくださいと店員さんから言われたにも関わらず、ど真ん中で焼く二人
毎週火曜日に神谷先生がいらっしゃることが当たり前になっていましたが、こうして後任の足立先生をご紹介していただくと、人との出会いは別れの始まりなのだと、だからこそ共に働ける時間は貴重だと改めて感じました。
今日この限りある時間を私達は精一杯楽しみ、また食事会の終わりを惜しみながら、別れと出逢いに感謝しました。神谷先生、栗田さん、ありがとうございました。
そして足立先生、どうぞこれからよろしくお願いいたします。—今日のお店情報—
遥(はる)
名古屋市中区栄5-16-2
052-264-7797
アクセス:地下鉄名城線矢場町駅3番出口徒歩1分/地下鉄東山駅栄駅13番出口徒歩5分
矢場町駅から82m
営業時間:18:00~22:30(L.O.21:00)
日曜営業ウィメンズマラソン
みなさんこんにちは。
歯科助手の磯部です♬
勤務年数長いですが
なにげに初めてブログ書きます♪(๑ᴖ◡ᴖ๑)♪さて、私事ではありますが
この度3月8日(日)
名古屋で開催された
ウィメンズマラソンに
出場しましたぁ~♬このマラソン大会の
出場権は女性のみで
今回約1万3千人が集結したそうです!この日の為に少しずつ
トレーニングして
体力付けて~
挑みましたっっ(๑´▿`๑)みんなの声援で元気をもらい
エイドのドリンクや給食を食べて~はるな愛さんと
写真撮影したり(綺麗でした♡)武井壮さんと
力強いハイタッチをしたり
(顔小さかったです♡)たんぽぽの白鳥さんと
横に並んだり
(お肌トゥルトゥルでした♡)名古屋の景色を楽しみながら
ゴール゚ヽ(*´∀`)ノ♬♪♫ ♬♪♡
タイムは5時間38分!!
これです!
この感動を味わいたかったんです♡✧。(⋈◍>◡<◍)。✧♡まわりのみなさんに
『なんの為に走るの?』と
よく聞かれますが
まさにこの感動の為にです!!!ティファニーも無事
ゲット出来ました♬最近ランナーが増えてます◖ฺ|´⌣`*|◗・˳♪⁎˚♫
街中を走っていると
色んなランナーの方を
見かけます♪(๑ᴖ◡ᴖ๑)♪ウェアを可愛くして
気分上げたり
食べ過ぎて
燃焼するために走ったり
健康の為に走ったりなどなど楽しみ方は十人十色です!
それがランニングの魅力だと
思います(๑´▿`๑)♫•*¨*•.,,♪✧みなさんも是非
ご自分に合った楽しみ方で
ランニングを初めては
いかがでしょうか♬それではこの辺で
失礼しまーす゚ヽ(*´∀`)ノ♬♪♫ ♬♪
ミキさん お誕生日会
まだまだ寒い日が続きますが皆様いかがお過ごしでしょうか。
老化と肥満で、遂に膝関節を痛めた歯科衛生士の横井です。(自称ぽっちゃり)今日はミキさんのお誕生日会の紹介をさせて頂きます。
ミキさんは昨年めでたくご結婚され、仕事では歯科衛生士として、家庭では良き妻として公私ともに充実した毎日を送っていらっしゃいます。
結婚して初めての誕生日は、旦那様がミキさんのためにシャンパンと美味しい手料理、そしてテーブルの一輪挿しに3本のバラという素敵な演出でお祝いしてくれたそうです。(よく仕込まれた出来た旦那様です)
お付き合いをしていた去年の誕生日(25歳)は、25本のバラの花束をプレゼントしてくれたそうで、今年のバラの本数(3本)にミキさんは少々不満がおありのようでした。
しかし、結婚すると財布が一つになるという現実的な観点から、26本分の出費が3本に節約できたことに安堵するミキさんはしっかり者です。(花は枯れますがお金は残ります)ミキさんのお誕生日会は、The kawabun nagoyaです。
広々とした空間に和と洋の融合が素晴らしい店内。
まるで明治時代までタイムスリップしたかと見事な造りです。
いつも院長のセレクトには驚かされます。今回は、少し早めにお店を出て、院長行きつけのカラオケへと移動しました。
着いて早々に院長よりカラオケの心得が発表されました。1)歌は1番まで歌ったら終わる(回転率を高めるため)
2)演奏停止ボタンは歌う人が押す (他人が押すのは空気を乱す原因という院長配慮)
3)次の人が歌を入力していなければペナルティ(涙)この心得のお陰でマイクが次から次へと回りました。(さすが院長。仕事もカラオケも効率が良いです)
いつも食事会では、診療室では決して見ることのない一面を垣間見ることができ(院長のコブクロ熱唱など)、知れば知るほど素晴らしい方々に囲まれた環境に今日も感謝です。
http://www.thekawabunnagoya.com/
エリさん お誕生日会
木枯らしの寒さが身にしみる今日この頃、皆様いかがお過ごしでしょうか。
冬眠する予定もないのに着々と蓄えている歯科衛生士の横井です。(いっそ冬眠してリセットしたいです)11月は歯科助手のエリさんのお誕生日でした。
エリさんは礼儀正しく、責任感もあり、仕事もテキパキとこなすやり手歯科助手です。
羨ましいくらい抜群のスタイルは適正にカロリー計算された食生活の賜物だと思います。(さすが栄養学科卒)
「お昼ご飯のお弁当を今日は全部食べちゃいました。」という発言が、常に完食の私には驚きます。(私もそのセリフを言ってみたいです)エリさんのお誕生日会は院長おすすめイタリアンで行われました。
大皿料理を皆で取り分け、ワイン片手に尽きない話題で大盛り上がりでした。私がこちらにご縁をいただいてはや4ヶ月。
その間にもう4人のスタッフの誕生祝いを一緒にさせて頂きました。こうして皆でスタッフの誕生日を祝い、食事を共に囲むことはとても素晴らしいことだと思います。
お互いを知ることで繋がりが深まり、仕事での調和が取れます。
また、院長がスタッフを大切に思ってくださる気持ちが伝わり、皆のモチベーションが上がります。さぁ!また明日から頑張るぞ!
エリさんお誕生日おめでとうございます!
また来年も一緒にお祝いしましょう!ENOTAVOLA DA NICO (エノタヴォラ ダ ニコ)
http://www.enotavola-da-nico.com/沖縄に
沖縄にきています。
学会ではないです。プライベートです。
沖縄は初めてです。
空港でレンタカーを借りて、フーチバーそば を食べ、
(那覇天久 「てぃあんだー」)
http://tabelog.com/okinawa/A4701/A470103/47001053/dtlrvwlst/6833723/?rvw_part=all&srt=
htまず首里城へ。
ホテルチェックイン後、沖縄料理(ゴーヤチャンプルとか)を食べたところで、その後は、島唄のライブハウスです。
長谷川は、琉球サウンズのネーネーズが好きなので、速攻、ネーネーズのライブに行きました。
すると、ネーネーズ、いきなりみんな、AKB48ばりの、とても若いメンバーに変わっていました。
確かそんな若いはずはないと、ライブの後たずねてみると、卒業や新人加入を繰り返しいまや5代目だとか。まぁ、私がネーネーズにハマっていたのも20年ほど前のことですからねぇ。
もちろん、フレッシュなネーネーズも楽しめました。
泡盛の飲み過ぎで、ボロボロになってホテルへ帰りました。
それでも、沖縄はいいところですね。明日はさらに探求を続けます。
sumieさん お誕生日会
朝夕肌寒く感じられる今日この頃、皆様いかがお過ごしでしょうか。
長谷川亨歯科の平均年齢をグッと押し上げた、新人歯科衛生士の横井です。(アラフォー)
縁あって、こちらに勤務させていただくようになり、早いもので2ヶ月半が過ぎました。
今日はいつも大変お世話になっている歯科助手のスミエさんの誕生日会についてご紹介させていただこうと思います。
彼女はすらっと長身のデキる歯科助手。落ち着いたしっかり者で、とても頼りになる存在です。
彼女はマラソンの趣味をお持ちで、来年の名古屋ウイメンズマラソン42.195kmに出場されます。(私は考えただけで膝軟骨がすり減りそうです)
今日は、そんなスミエさんの2
の誕生日お祝いとして、院長が日本料理「柏木」にて席を設けてくださいました。いつもの私の食事(スパイシー&オイリー)とは違い、素材の風味を楽しめる上品なお料理を堪能させていただきました。

日頃は皆それぞれ仕事に集中しているため、なかなかゆっくりと話す機会もありません。
今日は美味しい料理とワインのせいか、みんな話し出したら止まりませんでした。
楽しい時間はあっという間に過ぎ、食事を締めくくるデザートがテーブルに並びました。
それを合図に、院長がスミエさんに内緒で用意した花束をさっと差し出し、みんな温かい拍手で彼女の誕生日をお祝いしました。
スミエさん、お誕生日おめでとうございます!

日本料理 柏木
東区橦木町3丁目54 ステージ橦木1F
愛知県 名古屋市052-325-3829
営業時間外
本日11:30 – 14:00, 17:00 – 22:00saoriさん、バースデー会。
はじめまして!
スタッフのmomokaです!今回は、チーフのsaoriさんのバースデー会のお話です!
毎度、バースデー会を開催してくださる院長は本当に男気があります

今回もとてもお洒落なお店でした

『四間道レストラン松浦』とゆう名のお店です。参加者は、主役のsaoriさん、mikiさん、sumieさん、eriさん、yukariさん、私momoka、水曜日のドクターの高橋先生、そして院長です!
いろいろな話で盛り上がりました!
みなさん、ワインが進んでいましたね
最近、ご結婚されたmikiさん
おめでとうございます(=゚ω゚)
(゚ω゚=)最後にロウソクのたったお洒落なケーキがでてきました

saoriさんの嬉しそうにロウソクの火を消す姿。。。とても可愛かったです

改めてお誕生日おめでとうございます!!ヾ(´ω`=´ω`)ノ
この記事を読んでくださったあなた。
ありがとうございます
長谷川亨歯科クリニックのメンバーを今後ともよろしくお願い申し上げます!おまけでお店の情報です↓↓
興味のある方は、ぜひ行ってみて下さい。▼店名
四間道レストランMATSUURA (マツウラ 【旧店名】四間道レストラン)
▼TEL・予約
052-720-5631
▼住所
愛知県名古屋市西区那古野1-36-36momokaでした。
次回の記事もお楽しみに♪momokaさんお誕生日会 & yukariさん歓迎会
こんにちは。
スタッフのeriです。多忙な院長に代わってブログを書かせていただきます(・◇・)ゞ
今回はわたくしの同期のmomonngaちゃん
こと、
momokaさんのお誕生日会 兼、NEWスタッフyukariさん
の歓迎会の模様をお伝えします(*・ω・)ノ今回は、新栄にある シェーネル・ヴォーネン にて開催されました。
(実は8月の出来事なのですが、もう衣替えの季節ですね、、、笑)
お店は以前にもスタッフのお誕生日会にて利用させていただいたそうで、
お店の名前で検索しましたところ、一番上の画像が長谷川歯科のブログでした!!すごい!!お店は外観に看板もなく、お家かと思いましたが、
中に入ると天井が高くとてもおしゃれな隠れ家のような素敵なお店でした
最後にお祝いのケーキが出てきたときに、お店の方が
生演奏でお歌を歌ってくださいました

とっても素敵なお食事会でした.。゚+.(・∀・)゚+.゚
さて次は、スタッフの誰にブログのバトンタッチがされるのか、お楽しみに

シェーネル・ヴォーネン
TEL : 052-251-0323
住所 : 〒460-0007 愛知県名古屋市中区新栄1丁目46-2春です! 新入スタッフ 歓迎会の季節です! part 2
前回の続きです。っていうか、もう初夏ですが・・・(汗)
さて、eriさんと、momokaさんの歓迎会に続き、tsubasa(この綴りでOK?)さんの歓迎会です。
最近、フレンチがないので、リマージュ/L’image @久屋大通 で。
診療所の歓迎会ということで、しきいを使った個室でご準備いただきました。土曜日担当の、長田先生(独身。趣味はゲームとクルマと温泉めぐり・・・院長推測)にもご参加いただきました。
普段なかなか、スタッフとお話しする機会が無いため、あれこれ質問攻めにあっていたようです。噂によると tsubasaさん。夜寝るとき、目を閉じると、自分が歯のクリーニングをしている患者さんの、お口のシーンが浮かび上がってくるとのこと・・・・すばらしいデス!
tsubasaさん、歯科衛生士を天職だと実感するまで、あと一歩ですよ!
これからもよろしくお願いしますね。
春です! 新入スタッフ 歓迎会の季節です! part 1
今年から、この春にかけて、当院は久しぶりのスタッフの入れ替わりがありました。
年度をはさんで、お二人が退職され、3人の新しいスタッフをむかえました。何よりも、9年間 御勤務いただいたチーフのchizukuさんの退職がビッグイベントでした。
chizukoさんは、昨年の結婚後、ご妊娠されたのですが、ムリムリで勤務いただいていました ( 3月末 退職予定でした ) 。
しかし、ついに3月初旬にドクターストップがかかり あえなく突然の退職となりました。
物静かな優しいお人柄で、たくさんの患者さんから大きな支持を得ていたchizukoさん。スタッフからも慕われ、惜しまれての退職ですが、chizukoさん自身にとって、もっとも幸せなカタチでのご退職となり、私(院長)としては、ほっとしています。
送別会ができなかったので、みんなでお礼のメッセージ写真を撮りました。病院からのお電話で 「子供の手が離れたら、またお手伝いさせてくださいね~」 と言っていただき、院長冥利に尽きます。
医療は、病気の方をお世話する仕事ですので、職員一人一人が健康で、心に余裕がなければ、十分な仕事ができるはずがありません。
ご退職される方も、そして、新しく当院に御勤務される方も、日々の仕事をこなしていくことも大切ですが、それぞれの生活や人生で、幸せをつかんでいただきたいと願っています。さて、新人スタッフ歓迎会は、2回に分けて執り行われました。
まず1回目 chizukoさんの送別会と、eriさんとmomokaさんの歓迎会を一緒にやろうと思ったのですが、前述のとおりchizukoさんは参加できませんでした。お店は、気合を入れて ( いつもはいってますが・・・ ) 院長一押しの和食、「かぶと」です。
年のせいか、胃袋にドーンと来る、イタリアンやお肉より、繊細な味わいの和食に、味の趣向が傾きつつあります。
お店の雰囲気もさることながら、食材の良さをギリギリまで引き上げる板長のセンスは、味オンチの私(ハセガワ)でも十分実感できます。写真は、お店の前で撮ったはずなのですが、探しても見当たらないので、ネットから拝借しました。
懐石・会席料理 かぶと
愛知県名古屋市西区那古野1-30-6
TEL 050-5869-2030 (予約専用番号)そして 歓迎会 第2弾は・・・・・ 長くなったので次回にご報告します。
mikiさんと chizukoさんのお誕生日会
久しぶりの書き込みですので、新年のご挨拶は割愛させていただいてっと・・・・(おいおい)
1月は 当院の誕生日ラッシュです。
お一人目は
歯科衛生士 mikiさんです。東区のフレンチ魯庵(ろあん)です。
個室で、ゆったりとお料理を楽しませていただきました。昨年からご勤務されている、女医の折本先生もご参加してくれました。
お二人目は
やはり、歯科衛生士のchizukoさんです。
アメリカからの留学帰りの、長身&独身ドクター 神谷先生が参加してくれました。
金曜日は。8時までの診療でしたので、9時頃からのスタートです。
遅番のアルバイトの助手さんたちも参加して、賑やかな会でした。レストランは
フレンチ、ビストロ、ステーキの L’APRES SIX(ラプレシス)
052-961-7039
愛知県名古屋市東区泉1-22-22 戸田ビル 1F です食材の使い方が絶妙で、何を食べてもおいしいです。
ワインも厳選されています。フレンチは、敷居が高いと感じがちですが、
気軽に楽しめるこのお店は貴重です。mikiさんもchizukoさんも、歯科衛生士ですが、歯科衛生士は歯科診療になくてはならない存在です。
chizukoさんは,昨年ご結婚され、そして、ご出産を間近にしながら ご勤務いただいています。身重なおからだで、献身的に診療されているその姿勢には、頭が下がります。
そこで、最近めきめきスケーリング(歯石取り)の腕を上げている mikiさんが、持ち前のバイタリティーを発揮して、バリバリ衛生士業務をこなしてくれています。mikiさんありがとね。
そういえば、カンバック歯科衛生士 ( 当院に長く勤務され、結婚出産し退職、子育てが一段落ついて、昨年より非常勤で勤務してくれています )の、harunaさんも、ついこの間、第2子をご懐妊されたとの報告もあって・・・・
おめでたと幸せ続きの皆さんですが、どうか、おラダをまず第一に考えてご勤務願います。
まあそれはともかく ・・・・ mikiさん、chizukoさん、 お誕生日おめでとうございました。
risaさんのお誕生日会
risaさんのお誕生日会が行われました。
ステーキ専門店 喜むら庭 (名古屋市中区 上前津)でした。
ステーキって肉が命で、肉さえ良ければ、わざわざお店まで行かなくても・・・・との考えもありますが・・・・
しかし、さすが専門店。このお店では、それを超えた味わいを堪能することができます。
素材の選別はもちろん、それを活かす技術と経験があるのでしょうね。
料理(調理?)の奥深さを実感できるお店です。
さて、risaさんは、歯科衛生士学校に通っている頃から、当院でお手伝いをしていただき,シンガポールとアメリカに留学されて、昨年職場復帰された、努力家の才女です。
これからも、当院で実力と潜在能力を発揮していたけるよう期待しています。
暑中お見舞い申し上げます
暑い日が続きます。
つい先日のこと、私(院長)はお昼休みに郵便局までチョット行ってまいりましたが・・・・・
日差しと、暑さが
・・・・
・・・・
もう
・・・・
ハンパじゃありません。
心なしか、外を歩いている人も少ないような・・・・
さて、その日の昼からの診療、
いつも通り、たくさんの患者さんに、ご来院いただいています。
ご高齢の方も・・・・
熱中症は大丈夫でしょうか?
他にも・・・・・
「ここは天国ですね(クーラーが効いてて)、外は暑いっすヨオ~」
と汗びっしょりのサラリーマンの方とか。
ほんとに頭が下がります。

ということで、早速 入り口のステップのところ
(今は土足になったので、下駄箱はありません) に、簡易な冷蔵庫を置き(これがあまり冷えないケド・・・・)
その中に ペットボトルの飲料水 を用意しました。
患者の皆様、どうぞ、十分に水分補給してご通院下さい。
申し遅れましたが
暑中お見舞い申し上げます。
yukaさん お誕生日会
yukaさんのお誕生日会は、少し前に行われました。
「少し前」 って、いつ頃かってゆーと・・・・
・・・・
んー
・・・・
わかんないっっ!
ってことで、ひとつヨロシク。
今年であることは間違いありません。お誕生日会、初のお寿司屋さんでした。
お店は、東区の車道にある 龍文支店。
あの、知る人ぞ知る、名古屋の超有名店 「龍文」 の分店で、龍文の店主のご子息のお店です「龍文」同様、ほとんどのネタは、うすくちのポン酢やお塩、もしくはそのままでいただけます
お寿司って、いつ、どこのお店で食べてもおいしいのですが、龍文は、はっきりとおいしさの違いが実感できる、数少ないお店の一つだと思います。
龍文支店
住所: 〒461-0003 愛知県名古屋市東区筒井3丁目9-12
電話: 052-937-2133さて、ビールと焼酎と日本酒が入って (どんだけ飲むんじゃい)、酩酊状態で気が大きくなったところで、2次会へ・・・
2次会は錦のマジックバーです。
いきなり、マギー審司さんが、たまたま遊びに来ていましたが(プライベートでマジックも少し披露してくれました)・・・・カウンターを、当院スタッフ7人で座って占領しておりまして・・・・・
店員のプロマジシャンの方々が、順に手持ちのマジックを見せてくれます。
何というか
・・・・
どのマジシャンも
・・・・
凄くハイレベルです!!
特に、若いマスターの、手を触れずに金属フォークがぐにゃぐにゃに自由に形が変わるマジックは圧巻です。
ご興味のある方は、百聞は一見にしかず。是非お店に。
必ず感動します。
マジックバー モメントス Momentos 22
住所: 〒460-0003 愛知県名古屋市中区錦3丁目18-6
電話: 052-961-5060yukaさんの結婚披露宴
おめでたい報告です。
当院のニューフェイス(・・・といっても もう8ヶ月くらいたちましたが)yukaさんが、めでたくご結婚されました。
院長の私も、お招きいただいたので、結婚式と披露宴、行ってまいりました。
ちなみに、私は結婚式が大好きです。
何やら 幸せな気持ちになれるから・・・

う~ん、 若いお二人だけあって、初々しい結婚式でした。
純白のウエディングドレスもステキです。yukaさんには、結婚後も引き続き ご勤務いただいています。
どうぞ いつまでもお幸せに。
ライフ・オブ・パイ / トラと漂流した227日
久しぶりに映画を観に行きました。
「ライフ・オブ・パイ / トラと漂流した227日」

3Dは「アバター」以来です。
元来、映画好きな私(長谷川)は、映画評を新聞に載せていただいたこともありますが、
最近はDVD派に。
しかし借りてきても、仕事疲れで、モニターの前で寝入ってしまうとことも度々という、
映画ファンと名乗るのも、おこがましい状況です。今回は、新聞の映画評で「文学的な結末で、解釈は見る人次第だ・・・」(確か)
と書かれていたのを読んで、
「うーん、虎と227日も漂流して文学的な結末とは???」と興味をかき立てられ、
劇場に足を運ぶことに。さて、感想は・・・・
ずばり、前述の映画評通りでした。
主人公はインド人の少年
さらに、彼は3つの宗教の信仰者
少し変わった少年ですが、家族に愛され恋人もいますトラとの漂流シーン(大部分はコレです) はリアリスティックで、生々しく、
そして何より ゾっとするほど美しいです。これ以上 何を書いても ネタバレ になりそうなので、あまり書きませんが、
私は、ストーリーとその結末に 神の存在と人間のエゴイズム を感じました。
長谷川は理屈っぽいのであれこれ考えますが、
約2時間30分、何も考えずに、スリルと映像美を堪能するのが、この映画のもっとも正し見方かもしれません。ご覧になる方は 是非 3D版 をおすすめします!
saoriさんのお誕生日会
さて、いつのことか忘れましたが・・・・
確か去年・・・・
かも・・・・
・・・・
と、超歯切れが悪いですが、お誕生日会の報告です。
報告遅れてます。(ホントは昨年11月)
saoriさんは、歯科衛生士専門学校の学生時代に 突然
「アルバイトさせてください!」と当院にやってきた、ガッツのある女性です。明朗、快活、健康、そしてがんばり屋(そしてもちろん美人)です。
大学の歯周病科の先生の指導を仰ぎ、3年がかりで症例資料を整え、
昨年 歯周病学会の認定歯科衛生士の資格を取得しました。チーフのchizukoさんとともに、当院の歯科衛生業務のレベルを押し上げてくれています。
さて誕生日会は、当院のお誕生日会レストランの定番・・・
リストランテ アンティカローマ – ANTICA ROMA
名古屋市東区代官町39-18 日本陶磁器センター1F
電話:052-930-2770

なぜ定番かというと、「ハッピーバースデー」を生演奏&生ヴォイスで歌ってくれるから
もちろん料理もおいしいです(過去のブログ参考にしてくださいネ)さて写真で 白いプレートを見せているもう一人のスタッフは、
新人スタッフのyukaさんです。yukaさんは、全くの歯科未経験です。最初はおぼえることばかりで大変ですが、すぐに仕事の楽しさが
わかってくると思いますよ。saoriさん、おめでとうございました。
yukaさん、これからもよろしくお願いします。明けまして おめでとうございます
新年 明けましておめでとうございます。
本年も、皆様の生涯にわたるお口の健康を目指し、治療、口腔ケアーをさせていただく所存です。
スタッフ一丸となって、誠心誠意 診療を行って参りますので、昨年同様 よろしくお願いいたします。
さて、お目でたついでに・・・・・・
昨年 ご退職された、ayakoさんが元気な女の赤ちゃんを出産されました。
そして、診療所に遊びに来てくださいました。
愛嬌があって、ハンサムです!!!!
私(院長)も抱っこさせてもらいましたが、赤ちゃん独特のいい匂いがします。
漫画家の水木しげる氏の手記で、氏が戦争で重篤なけがと感染症で、命を失いそうになり野戦病院
で寝込んでいたある日、自分の切断された手の傷口から赤ちゃんの匂いがして、その匂いをかいだ
とき、自分は死なずに生き続けていけるような感覚を覚えた・・・ という話がありましたが、
赤ちゃんの匂いは強い生命力を感じます。ayakoさん、すっかりお母さんの笑顔ですね。
大変ですが、楽しく子育てをしてくださいね。皆様の1年がすばらしい年でありますように。
クリスマス会 2012
さて、今年も 恒例のクリスマス会が・・・
昨年と同じく、中区歯科医師会@マリオットホテル です。
日にちは12/1 (土曜日) って 少し早いし。

雰囲気が伝わるでしょうか?例年同様 とても楽しめました。
土曜日担当の長田先生にも、ご参加いただきました。
写真のサンタ役は、中区歯科医師会、専務理事のT先生です。
T先生は、厳格な仕事で定評のある、矯正歯科の名医ですが、
サンタ役も堂に入っています。
一流の人は、何をしても一流ですねー。お楽しみビンゴ大会は・・・・
mikiさんが、早々に、見事 デジカメをゲットしました。
ほかのスタッフも 結構いいセンいってたようです。長谷川は・・・・ お願い、もう聞かないでください(涙)
クリスマス会をご準備いただいた、中区理事会の先生方 どうもありがとうございました。
( サンタの長ぐつ ノリでいただいてしまったようで・・・・こちらもありがとうございました)アヤコさん,長い間お疲れ様でした
アヤコさんについては、以前、ご結婚の報告をこのブログでさせていただきました。
昨年めでたくご懐妊され、その後も身重のお体でご勤務いただき、いよいよこの度ご退職となりました。

長きにわたり、そして、妊娠中の大変な中、最後までおつとめいただき、感謝いたします。
下の写真は、送別会の1シーンです。
ツキダテ(フレンチ)
愛知県名古屋市中区錦2丁目5−25
052-203-0077でした。
ベルギービールを出していただきましたが、フランス料理にぴったりでした。
アヤコさん、健康な赤ちゃんを産んで下さいね!!!

写真、右奥にさりげに座っているのが、あの有名な 築舘幸伸シェフです。
いつもおいしい料理を ありがとうございます。mikiさんのお誕生日会
というわけで
歯科衛生士の mikiさんのお誕生日会です。
chizukoさんと同月の為、月をずらしての開催です。
お店は、当院のお誕生日会としてはじめての・・・・・・・
中華料理店 茗圃 (ミョウホ) でした。
小雪が舞うような、寒い日でしたが、店内はお客さんで熱気いっぱい。人気店であることを実感しました。

前菜
海鮮のスープ
エビの炒め物と、
・
・
・
・メニューが進むに従い、お酒も進み
・
・
・
・最近の当院診療所の食事会ではすっかり恒例となった
・
・
・
・mikiさん vs 院長 の、飲み比べ大会になってしまいました ( 汗 ) 。
ということで、後半はほとんど、味覚が麻痺して、「茗圃」の味について論じれないのは不覚の至りです。
ちなみに、飲み比べは、最終決戦(紹興酒)までずれこみ
一応 引き分けと言うことで・・・・・・・
mikiさんは、去年の今頃からご勤務をされて約1年立ちました。
若さと、何事にも動じない性格で、今最もたくさんのスケーリング(歯石取り)や口腔衛生指導(歯ブラシ指導)を担当してくれています。
今後も持ち前の明るさでガンバって下さいね。
茗圃
愛知県名古屋市中区栄2-12-22 ウィンコート・白川1F
電話 052-253-7418待合室のモニター
昨年末より、待合室にモニターを設置し、いろいろな情報を流しています。

コンテンツ ( 内容 ) は主に3つで
1 診療所からのお知らせ
2 治療内容の説明
3 歯科の病気の知識
です。業者さんから提供される既製のモノもあるのですが、内容が当院の診療所となじまなかったり、説明不足であったり、いまいちビジネスライクで暖かみがなかったりと、手放しで導入する気になれなかったので、思い切って自作しました。(パワーポイントで)
さぞかし満足度の高いモノができたんだろうねと、突っ込まれそうですが、その実態は・・・・・・
機会があったら 是非ご覧いただき、ご意見をもらえるとありがたいです。
現在15個くらいの、コンテンツをそろえています。
暇なときにどんどん新しいモノを作るつもりだったのですが、一通りできあがってホッとしたのか、なかなか新作づくりに取りかかれないでいます。
↑ こちらは歯周病の進行の説明についてです ( これは写真ですので動きません )
You Tubeの動画に、説明文をつけて作りました。明けましておめでとうございます
みなさーん、明けましておめでとうございますー
・・・・・・・・・・・って、もう3月だし。
まあ、細かい事は気にしないで、忙しかったんだからしょうがないです(ひらきなおり)。
ということで、年が開けて、続けざまにお二人の誕生日会がありました。
歯科衛生士の mikiさんと chizukoさんです。
まずchizukoさんのお誕生日会から。
寒いので、院長の独断で鍋にしました。
あんこう鍋です。

お店 「白龍」は酒造メーカーで、
写真に写っている、小さな部屋というか、家というか、建屋というか・・・これは酒造で使用していた酒樽を改装した樽部屋です。コテージ風に庭に配置され(5部屋くらい?)、その中で食事ができます。(定員一部屋4人ぐらい)
当日は7人でしたので、二部屋に分かれて食事をしました。
食事が始まると、なにやら近くの樽部屋から、すごい大声で談笑してる声が聞こえました。
「盛り上がってるなあー」とそっと見てみると・・・・・・それは当院の美人女医 倉地歯科医師でした。確か倉地先生は「下戸」だったはず・・・・ノンアルコールでこの盛り上がりよう、さすが国立大での秀才、集中力が違います。
盛り上がりすぎると危険なので、途中で各部屋のメンバーをシャッフルして、調整しました。
chizukoさん、チーフとしてご苦労が絶えませんが、引き続きよろしくお願いします。
【店名】
和食処 白龍【住所】
〒464-0844
愛知県名古屋市北区清水二丁目18-18【TEL】
052-914-9361愛知学院大学短期大学部のパンフレットで紹介されました
当院には、現在5名の歯科衛生士がいますが、そのうち3名は愛知学院大学(専門学校)卒です。
そのご縁もあって、短期大学部の来年の新入学生向きパンフレットの、「就職した先輩からのコメント」欄に、昨年卒後、当院に就職したお二人の歯科衛生士がコメントと写真が求められ、掲載されることになりました。
将来、歯科衛生士の職を目指す、主に高校生の皆さんに、歯科衛生士の仕事の内容と、職業としての重要さを少しでもご理解頂き、現在の歯科衛生士不足に対する一石となれば、嬉しいです。

以下 コメント記事
一般診療所で予防処置を主体とした歯科衛生士業務を行っています。チーム医療を通して、先生や先輩から教えや励ましを受けながら自分の成長を感じることができ、とても楽しく充実した毎日をすごしています。診療では患者さんと一対一で接する時間が長いため、高いコミュニケーション能力が求められますが、学校で教わった歯科医学の基礎知識、そして付属病院での実践的な実習の経験が心の支えとなっています。歯科臨床の現場では、予防処置やお口の健康への患者さんの関心の強さを実感すると共に、その中で歯科衛生士の果たす役割の多さに驚かされます。卒業後も勉強を続け、少しでも患者さんのためになる歯科衛生士となるよう努力したいと考えています。
恒例の忘年会
今年も、忘年会シーズンがやってまいりました。
当院も、少し早い忘年会を行いました。例年通り、中区歯科医師会のクリスマス会に便乗した忘年会です。
本年も、マリオットホテルで行われました。家族従業員を含み150名以上が参加し、盛会でした。
年末と言うことで、当院はスタッフ全員参加にならず残念でしたが、クリスマスの福引きの景品は、デジカメ2台をはじめ、結構、強運でした。
ちなみに長谷川は、「紳士用靴下(ほぼ最下位近く)」で、相変わらずショボかったです。
従業員の皆さん、お疲れ様でした。また来年もよろしくお願いします。
送別会
「出会いと 同じ数だけ お別れがある」 のでしょう。
一緒に働いてきた仲間(スタッフ)が退職されるのは、悲しいものです。
mikiさんが7月に、 risaさんが8月に ご退職されます。
ということで、送別会を行いました。レストランは
四間道レストラン
名古屋市西区那古野1-36-36
電話:052-533-1788でした。
町家と蔵が連なる四間道(しけみち)の一軒家。270年前の蔵を改装したレストランで、「隠れ家レストラン」的に思えるのですが、訪れてみた印象は、緑の庭があり、ゆっくりくつろげる、癒し系のレストランでした。
ハセガワも初めてでしたが、送迎会の日は、ソムリエもいて味もサービスも実力派の立派なレストランでした。

退職後は mikiさんは東京へ、risaさんはシンガポールへと新しい生活に向けて旅立ちます。
お二人の輝かしい未来に エールを送ります。risaさんの誕生日会

6/22は risaさんの誕生日会でした。
場所は、院長の独断と偏見で、新栄のドイツ料理店 ピルゼンでした。
「暑いので、おいしいビールが飲みたい」と言うのが、主たる理由のようでした。ピルゼン Pilsen
〒460-0007 愛知県名古屋市中区新栄1丁目4-5残念な事に、risaさんは、本年8/20をもって、退職されます。衛生士学校に通っていた頃から、バイトでお手伝い頂き、卒業後は正社員として診療所に尽力してくれました。
だからというわけではないのですが、この度、前歯を一本治療することになりました。

左上の2番目です。(写真では向かって右から2番目)
退職後は海外留学されるとのこと、これで安心して行ってきて下さいね。
ちなみにこちらは治療前

ゆうあちゃんが診療の絵を描いてくれました
幼少の頃からおかあさんの治療についてきて、いつも待合室でお利口に待つことのできるゆうあちゃん(7歳)。
今回、治療中のスタッフの絵を描いてくれました。

よく見ると、結構細かな所まで描写されていて・・・・・・・うーん、良く書けてマス。
ゆうあちゃんご自身は、小さい頃からの予防が功を奏して、虫歯はありません。
こどもの頃からの虫歯予防は大切ですね。
虫歯予防の切り札 ・ フッ素のうがい洗口剤 ミラノール ・ 定期検診
記事タイトルkaoriさんのお誕生日会
時は平成、4月25日・・・・・・・この日は、この春で2年目の歯科衛生士 kaoriさんのお誕生日会であった。
・
・
・
・
と、歴史番組調の書き出しの本日のブログですが、
・
・
・
・
・
・
約2ヶ月間も、誕生日会の報告が遅れたのを
・
・
・
・
・ごまかしているのがバレバレでーす。
と、軟調な文章ですが、決して酔っ払って書いているわけではありません。さて本題。
kaoriさんは、仕事外の臨床セミナーにも積極的に参加され、1年でかなりの実力をつけられました。
もともと、安定した温厚な性格ですので、患者さんの信頼も厚く、安心して仕事を任せることができるスタッフに成長してくれました。だからというわけではありませんが、月曜日担当のイケメンドクター、ハマサキ先生も参加してくれ、大いに盛り上がりました。院長だけですと、こんなに盛り上がりません。
お店は以前にもご紹介した
シェーネル・ヴォーネン
TEL : 052-251-0323
住所 : 〒460-0007 愛知県名古屋市中区新栄1丁目46-2
さて、勢い余って二次会にも突入しました。100メートル沿いにある、由緒正しい(?)隠れ家バー
バロンルージュ
052-243-5566
愛知県名古屋市中区栄5-25-32
アクシス栄B1大騒ぎしそうな雰囲気を、お店の人が察して、個室に案内してくれました。紳士、淑女の集まりである、当院のスタッフは、もちろんしっとりと、バーの雰囲気を楽しみました。
kaoriさん、これからもよろしくね。
ボランティアの顛末
話はさかのぼりますが、東日本大震災のあと、日本歯科医師会で被災地の歯科ボランティア募集がありました。
ボランティアは最低1週間で、希望者を日本歯科医師会がとりまとめて、順次現地に派遣するとのことです。被災地の惨状を見聞きしても、寄付(義援金)を払うくらいしか力になれていない自分自身に引け目を感じていたさなか、何か実際にお役に立てればと、早速応募しました(4月はじめのころ)。1週間まとめて休みが取れるのは、GWくらいしかありませんでしたので、「4/29から1週間」で希望を出しました。
しかし、GWが近づいても、派遣依頼の連絡が来ません。地区の歯科医師会に問い合わせてみると、「災害本部は混乱していて全く状況がつかめません」との返事で、ただ待つしかなかったのですが、漏れ聞く情報によると、GWの期間はボランティア希望が殺到していて、その中から任意に決めているとのこと。600人以上の希望者があったとのことでした。
結果としては、派遣連絡は来ず、残念ながら参加できませんでした。せめて義援金でもと考えたのですが、マスコミによると義援金はプールされるばかりで、実際の被災者に配分されるのはまだ先とのこと。
そこで、より機動的に義援金を活用してもらおうと、自治体に直接寄付をいたしました。 医療ガバナンス学会 発行のメールマガジン MRIC http://medg.jp の記事が大いに参考になりました。
送った自治体は南相馬市です。
「 南相馬市は、市内の一部が30km圏内にかかり、4月11日の政府発表により「計画的避難区域」と「緊急時避難準備区域」に分断されつつあります。ちなみに南相馬市はこれまで東電関係の原発交付金(原子力発電施設等立地地域特別交付金)を1円も受け取っていません。これからの移動を含めた市民生活には大きな支援が必要であり、直接支援は大変効果的です。」 ( 以上 MRICより抜粋 )送って数日後、早速 桜井市長からお礼の手紙が送られてきて、感激しました。被災された方々の復興を心より祈念いたします。

アヤコさんの誕生日会

最初から 謝っときます・・・・・・・・ゴメンナサイ
・・・怠惰なハセガワは、ブログ更新を怠っておりました。
ということで、アヤコさんの誕生日会です。3月31日のことでした。
知らない間に、歯科衛生士さんの人数が、歯科助手さんの方々の人数を大きく上回り、アヤコさんはじめ、助手さんには多岐にわたって、忙しくお仕事してもらっています。
アヤコさんは、どんな業務も気持ちよく引き受けてくれて、しかも効率的に成し遂げてくれます。
新婚のアヤコさんですが、これからもよろしくお願いしますね。
レストランは レストラン ツキダテ ( 名古屋市中区錦2-5-25 3F 袋町ビル)
私の好きなレストランです。入って右側(道路沿い)がフレンチ、左側奥に入っていくと、カジュアルフレンチで、どちらもおいしいです。
この日は2次会にも行きました。新入の歯科衛生士、ミキさんの
「バーって一度も行ったことがないんだあ~」という、要望に答えて、有志のみで(約5名)名古屋で最も暗い(照明が・・)バーというウワサの bar roots へ。
bar roots は錦3丁目のビルの地下のつきあたりにあります。
ボックス席もあり、キャンドルライトのもと、まったりと楽しく過ごせました。暗い店内で、「さあ明日からもしっかり働くゾ」と思いを新たにした5人でした。
チーフ チズコさんのお誕生日会 と 新入歯科衛生士さんの歓迎会
去る 1月27日はチーフのチズコさんのお誕生日会でした。
スタッフが多くなって、頻繁にこのような食事会がありますが、普段職場ではお話しできないことも話題にできて、毎回楽しませてもらっています(by院長)さて、今回は今年の初めから、当院でお手伝いいただいている、新人歯科衛生士のミキさん(助手さんにも、もう一人ミキさんがいますが・・・・)の歓迎会も兼ねて行うことになったのですが・・・・ミキさんも1月の誕生日ということで、急遽ミキさんの誕生日会も兼ねることになりました。
チーフ チズコさんの誕生日会の濃度が若干薄まり、申し訳なかったのですが、来年は別々にとりおこないますからネ。
お二人ともよろしくお願いいたします。

レストランは
T H E K A W A B U N N A G O Y A
名古屋市中区丸の内2-12-30
Tel:052-222-0020接客に定評のあるこのお店、患者接遇の勉強になりました|
取材を受けました ( テレビ朝日:ナニコレ珍百景 )
突然電話があり、テレビ朝日の「ナニコレ珍百景」の取材を受けました。
取材内容としては、 エナメル真珠( enamel pearl )についてのコメントを求められました。毎週水曜日の7時からの番組とのこと、普段その時間は仕事をしているので残念なことに観るたことはありませんでしたが、ゴールデンタイムの人気番組で、スタッフに聞いたらみんな知っていました。
1/21に電話があり、「22日にうかがいます」ということでしたので、当日少し緊張して(取材はいつも緊張するのですが)コメントを述べさせていただきました。

ちなみにエナメル真珠とは
歯根の表面に出現する1~3mmの球状または楕円形の隆起。出現しやすい。発生率は、上顎と下顎では上顎の方が高く、上顎・下顎ともに第三大臼歯が好出現部位である。上顎では8.2%、下顎では2.8%とされる。
(quint dental gateクインテッセンス社 より抜粋)ですが、私の考えでは、普段の治療で注意しなくてはならないのは、大臼歯の歯根の根元にあると、歯石のように歯周病に悪い影響を与えることがある点でしょう。今回取材の対象となった、親知らずのエナメル真珠は、臨床上大きな問題とならないので見過ごすことが多いです。
新年早々、おめでたい報告です
あけましておめでとうございます。
当院は5日から診療を始めました。
仕事始めは、例年どおり、緊急の患者様が何人か訪れました。さて、新年早々おめでたい報告です。
9日に当院のスタッフ、アヤコさんがご結婚されました。
私(長谷川)とスタッフ数名も式にお招きいただき、参加してまいりました。

お天気も良く、新郎新婦もにこやかでとても良い式でした。
アヤコさん、いつまでもお幸せに!

忘年会(クリスマス会)です

当院の忘年会は、ここ数年、中区歯科医師会のクリスマス会に便乗して行いました。今年も、マリオットホテルでした。
毎年、仕事を終えてから(6時)会場に向かっていたのですが(7時開会)、いつも遅刻しそうになりがちでしたので、今年は1時間診療を早く切り上げて、万全の体制で臨みましたが・・・・
・
・
・
・
・
早く到着しすぎました・・・
・
・
・
・
会場が開くまで、廊下で待たされたりして・・・・
何事も「ほどほど」がよろしいようで・・・・
・
・
・
・
でも、遅刻するよりは良かったです。恒例の福引きは、浅野先生がまた(2年連続)当院では最も良い景品(プレゼント)を引き当てました。おめでとう!ちなみに院長は・・・
・
・
・
・
・
最下位でした。トホホホ・・・来年は良いことがあると良いのですが。スタッフの皆様、1年間お疲れ様でした。
ゴルフはじめました
長谷川はゴルフを始めました。
いつからかというと、昨年の夏(7月ころ)からです。今までもゴルフセットは持っていて
1年に1回、もしくは数年に1回
どうしても断れない場合に限って、
おつきあいゴルフをしていましたが・・・・
はっきり言って苦痛でした。
しかし、将来の(ズバリ言うと老後の)趣味や運動を考えると、
ゴルフが最適という判断のもと、
今は月2回のペースでラウンドしています。さーて、気になるスコアーは・・・・・・
ひゃくう~・・・・・・・・・
・・・・・・・・・・・・・・これ以上恥ずかしくて書けません。上手くなったらご披露しますと宣言したいところですが・・・・
上達する兆しが、今のところ全く見えません。
そんな、困ったゴルファー長谷川でも、いっしょにラウンドしてくれる
心優しい友人がいます中区歯科医師会の E先生 H先生
同級生の J先生 H先生 (写真)
です。いつもご迷惑おかけして申し訳ありません。

名四CC 下手なりに楽しんでいますmikiさんのお誕生日会
さて、mikiさんのお誕生日会は10月2日に行われました。
本当は9月なのですが、前述のサオリさんのお誕生日会とカブるので、少し日程をずらしてもらいました(汗)日頃の激務のためか、当日体調を崩した人もでて、6人の会でしたが、その分いつもより、親密に皆さんとお話しをすることができました。
mikiさんは、英語が堪能で、診療所に訪れる外国人の対応を一手に引き受けてくれ、とても助かっています。いつも明るく、キビキビとご勤務いただいています。お誕生日おめでとうございました。
レストランは名古屋 新栄 マザックアートプラザ(美術館)B2Fにある イタリアンレストランTRATTORIA TOPE トラットリア・トペ
愛知県名古屋市東区葵1-19-30 マザックアートプラザ B2Fでした。以前は診療所の近くにあったのですが、お引っ越しされた後、なかなか訪れることができなかったのですが、味もサービスもグレードアップされていました。メインもさることながら、10数種類から選べる前菜は圧巻でした。

さて、翌日は休日ということもあり、久しぶりに皆で2次会に行きました。
アルコールの苦手な従業員も多いのですが、ワイン好きの院長( 長谷川 )の独断で行った先は、診療所の近くの
ワインバー フィネス
名古屋市中区栄4丁目12-22 052-262-5552 です。ボックス席に陣取ったのはよいのですが、すぐに満席となり(人気店です)お見せのスタッフが何人か来店されたお客さんをお断りされていたようで、ご迷惑おかけしました。このお店は、良質なワインを、グラスでけっこうなボリュームで飲ませていただけます。
mikiさん、これからも笑顔でよろしくね!
元スタッフが、赤ちゃんと一緒に遊びに来てくれました

結婚退職された、二人の元スタッフが、赤ちゃんを連れて遊びに来てくれました。
仕事をやめた後も、次の人生のステージで生き生きと ご活躍されているお二人がとてもまぶしく感じました。
ふたりの赤ちゃんも、とても元気でキュート!楽しいひとときを過ごさせて頂きました。
子育ては大変ですけど、がんばってね。
歯科助手MIKIさんの、お誕生日会
MIKIさんのお誕生日会の報告です。MIKIさんは昨年春からの新入、歯科助手さんですが、いつも笑顔を絶やさず、キビキビ業務をこなしてくれています。
仕事もほとんどマスターし、今や当院に無くてはならない存在です。さて、場所は千種駅ちかくのワインバーCorazonです。JR線沿いですが、静かでシックなお店です。写真を見ると、みんなワインを飲みまくってごキゲンにみえますが、当院従業員の飲酒者率は40%程度です。アルコールなしでこのノリは、ある意味すばらしいです。MIKIさん今後ともよろしくお願いしますね。
旧国鉄中央線の廃線とトンネル群
毎年この時期は学会シーズンですが、22日23日と久しぶりの連休でしたので、新聞で見かけた「愛岐トンネル群と廃線跡の自然を歩く~第4回市民公開」に出かけました。
私は鉄道マニアではありませんが、案内の
「廃線後約半世紀、2年前(2007年)まで全く人の手が加えられずそのまま残った姿は、まるで昔にタイムスリップした錯覚すら湧きあがり・・・」
「廃線跡には一部を除きレールも枕木も残っていません。ところがその後、放置されたことが幸いし、樹木やモミジが群生し、自然と遺産群が共生する全国でも珍しい場所に・・・・」
と言う文句に興味を持ったのです。11月21日から3日間のJR定光寺駅からアプローチできる4号5号6号トンネル付近を散策できます。限定公開です。(この場所は民地です)
別に普通の日でも行けるじゃないかと思っていたのですが、実際訪れてみると、当日は、特別の階段や足場を設置して、係の人が誘導してくれるのですが、一人では確かに行けそうもありません。
4号トンネルを抜けたところにある、見事なモミジ。紅葉がキレイです。
22日は曇天でしたが、21日にテレビや新聞で報道されたこともあり、たくさんの方が訪れていました。足下には枕木の下にひかれていた石があり、線路の跡が思い起こされます。そして何よりも豊かな自然にホッとさせられます。

トンネルの中はこんな感じ。(5号トンネル)。次の6号トンエルは長く、曲がっている為、真っ暗でした。携帯のライト照明で足下を照らして歩きました。明治33年に、名古屋ー多治見 間を蒸気機関車で結んだ旧中央線の面影と手つかずの自然にふれることのできた貴重な経験でした。
今回の事業は 「NPO法人 愛岐トンネル群保存再生委員会」の主催で行われていました。将来は自治体との協働しネイチャーロードとしての常時開放を目指しているとのことです。
ご興味のある方は 「トンネル群再生」検索でHPをご覧下さいとパンフレットに案内されていました。主任ユカさんのお誕生日(港区築地 青龍亭)
さて 時をさかのぼること約2ヶ月前。8月5日(水)のことですが・・・
ブログ未更新記録が長かったので・・・・・
遅ればせながら・・・・・・
ユカさんとユウコさんの誕生日会の報告をさせていただきます。ユカさんはご存じの通り、抜群の事務処理能力を持つ受付秘書兼助手で、今は主任として女性従業員のとりまとめ役をしてくれています。
ユウコさんは、常勤でご勤務いただいていたのですが、出産&育児のため今は月末に事務業務のお手伝いをしてもらっています。誕生日会の報告が続きましたが、決して毎夜毎夜 酒盛りをしているわけではありません。
ちなみに、勉強会や研修とかもしています・・・・
報告してませんが・・・・・
ユカさんの誕生日と言えば、当然、ユカさんのご実家の焼き肉レストラン「青龍亭」でしょう。何しろ お誕生日の主役自ら、メニュー設定からお運びからアミの交換まで、至れり尽くせりです。
青龍亭のウリは、なんと言っても上質な肉をふんだんに出してくれることでしょう。塩タンから始まる一連のメニュー、いつもペース配分を考えて食べるよう心がけるのですが、あまりのおいしさに必ず途中で満腹感と幸福感で進めなくなってしまいます。恥ずかしながら、この日もそうでした。
インテリアもおしゃれですし、大将(店主さん?)も奥さまも気さくでとてもフレンドリーな焼き肉レストランです。
ユカさん、お誕生日おめでとうございました。いつまでも明るい笑顔、期待してますヨ。
ユウコさん、レセ業務本当に助かっています。お子さんが大きくなったらまた復帰して下さいね。
青龍亭
愛知県名古屋市港区港栄4丁目8-1
Tel: 052-654-0840アフガンハウンドの集まり
(左から2匹目がココちゃんです)
私(院長)の家には、シェリーとココという2頭(匹?)のアフガンハウンド犬がいるのですが、アフガンハウンド愛犬家の集まりがあるというので、行って参りました。場所はドッグラン&カフェ Dinny’s Garden(愛知県東海市)です。
アフガンハウンドは長毛の大型犬ですので「お手入れが大変でしょ?」とよく聞かれますが「思ったより手がかかりませんよ」と答えています。これは謙遜ではなく、実際にサボってあまり手入れしていないのです(ゴメンね、シェリー&ココ)。
さて、行ってみてビックリ、同じ犬種とは思えないほど皆さん綺麗にそして優雅に(エレガントに)お手入れされています。どのワンちゃんもふわふわで見事なコート(毛並み)です。ウチの愛犬も一応毛玉等を切りそろえ、あまりみずぼらしくならないように体裁を整えて参加したのですが、明らかに見劣りします(ゴメンネ、シェリー&ココ)。ちょっとマズイです。
しかしお天気も最高で、ワンちゃんたちもしっかり運動でき、とても楽しい一日でした。
アフガンハウンドの毛並みの手入れも、歯のお手入れも、真剣にしないといかんですねえ、と強引に歯科的な結論で本日の報告を終了させていただきます。
サオリさんのお誕生日会
ブログ未更新記録、更新中!!!・・・・でした。
スミマセン、長い間お休みしていました。
気ままに始めたブログでしたが、気まますぎました。反省。と言うことで、久しぶりの報告は、去る9月7日の、歯科衛生士 サオリさんのお誕生日会でした。
当院は4名の歯科衛生士さんが在籍したいますが、どなたも勉強熱心でいつも感心しています。サオリさんはその中でも、研修会に積極的に参加し、衛生士レベルアップの牽引役をしてくれています。
レストランは東区のantica roma(アンティカ ローマ)。ピアノの生演奏が雰囲気を盛り上げてくれます。(以前はテノールの独唱もあって感動しました)
食事も美味しく、私の好みですが、ドリアは絶品だと思います。サオリさん、次の一年もよろしくお願いしますね。
AAP(アメリカ歯周病学会)に参加 -2
本年の学会のテーマは”On the Shoulders of Giants” でした。
直訳すると「巨人の肩の上で」と、何のことか解りにくのですが、これは、アイザック・ニュートンの “If I see further, it is because I stand on the shoulders of giants.(我々が遠くを見ることができるのは、巨人の肩の上に立っているから)”の一部を引用したもので、研究者や臨床家として、過去から築き上げられてきた業績に対し敬意と感謝の心を持ち、さらなる発展をめざそうといった趣意のようです。
学会のセッション中もこのテーマについて、各演者が随所でふれていました。
別の見方をすれば、インプラントに注視されすぎる傾向がある現状を憂いて、インプラントについての新しいトピックスのみを追い求めるのではなく、もう一度歯周病のメインストリートに立ち戻ってみようという、学会からのメッセージのようにも受け取れます。(少し考えすぎでしょうか)
今ある歯を残すのか、積極的に抜歯してインプラント治療に移行していくのかは、とてもデリケートな問題なので、今後ともおおいに論じられて良いテーマだと思います。
AAP(アメリカ歯周病学会)に参加
9月5日から10日まで、AAP(アメリカ歯周病学会)に参加しました。
開催地はシアトル市です。シアトル市は以前(といっても20年以上前ですが)に1ヶ月ほど滞在した事もあり土地勘があるのですが、今回は学会会場(コンベンションセンター)とその隣のホテル(シェラトン・シアトル)の往復のみで、後は食事と買い物に出かけたくらいでした。
学会は4日間(6日から9日まで)行われました。会員数が1万人を超す大型の学会ですので、今回の参加者も半端ではありませんでした。目玉となるジェネラルセッション(GS1)は、軽く1500人は超えていたでしょうか。驚きです。
慣れない英語に悪戦苦闘の目の回るような毎日でしたが、逆に脳はリフレッシュされたような感じがしました。シアトルはイチローのシアトルマリナーズ(メジャーリーグ)の本拠地で、たまたま行われていた試合も松井のNYヤンキースとの好カードでしたが、結局それも見れずじまいでしたが、久しぶりに学生時代に戻ったような、新鮮な4日間でした。
セッションは、インプラントを中心に選択しました。熱気あふれる講演に大いに刺激を受けてまいりました。
無記名アンケート結果
先月 当院でアンケートが実施されました。このアンケートは(株)エンパワーヘルスケアー社の協力のもと行われ、無記名ー無作為のシビアなアンケートです。
無作為の200名の患者様に 治療終了時にご記名頂き、その用紙は施錠された回収箱に入れられ、われわれ診療所スタッフ(院長含む)はそれを見ることはできません。
無事200名の方にご協力いただき、回収箱ごと管理会社に送り、後は結果を待つのみです。
7月はじめに結果が送られてまいりました。
ドクター、スタッフ(ドクター以外)、設備、アクセス などそれぞれについて、多診療所との比較からはじまり、患者様の個々のコメントもキチンと項目ごとにまとめてあります。20ページにおよぶボリュームの分析およびコメント集計でした。
総合ランクは・・・・・
Aランク
ほっと一息の 良い結果でした。特に女性スタッフの評価が群を抜いていました。
しかし、喜んでばかりはいられません。当院の強み 弱みが患者様の個々のコメントをとおして、明確にされているので、反省点も多くあります。また、普段 気づいていない点もたくさん思い知らされる結果となったのです。
いずれも、さらに患者様の満足度を高めるのに必要な事項ばかりです。
その内容については、引き続きまとめてみようと思います。まり子さんのバースデー
少し前のことになりますが、、2月9日(土)は、歯科助手のまり子さんのお誕生日会でした。まり子さんは、某有名デパートの某高級ブランド店の販売員から当院の歯科助手に転職され、はや3年。今や当院に無くてはならない存在です。
さて、当日名古屋は何年かぶりの大雪で、まともに歩いて行けないような状況でした。
レストランはランの館「オーキッド・ルーム」でした。
ランの館は 「平成10年5月にオープン。欧州のある国のラン好きの外交官(アジョナ・オーキッド氏)の邸宅で、ラン生産が盛んな愛知県の中心・名古屋に屋敷を構えたという想定で作られた日本一のおしゃれガーデン(ランの館HPより抜粋)」です。
さて、食事はとても美味しかったのですが(☆4つ?)、接遇は☆1つといった感じでした。予約どおり定時についたのに、10分以上レストランの外の寒いイスで待たされたのが残念でした。
当院においても、予約時間の厳守については、最優先の課題として取り組んでいる所ですが、予約時間通り来院された方をお待たせしないことはとても大切だと実感しました。
中京テレビ F2C の取材
この日は、制服のある職場で働く女性が、私服になるとどう変わるか?
という企画番組のテレビ撮影がありました。洋服の撮影と、トークの撮影があり、
初めは洋服の撮影から。スタッフ2人で参加しましたが、
2人とも初めての経験で、緊張しすぎて動揺隠せず・・・
1人ずつの撮影なので、より緊張感も倍増でした。
カメラ目線って簡単なようで難しい・・・なかなか緊張がほぐれないまま、
トークの撮影へ。上手く話できるかしら・・・
と不安を抱えたまま
3・2・1のコール何から話そうと思いきや、出る出る会話。
こちらもつられて会話をしてしまう。
気付いたら緊張感はどこかいってしまって、
撮影中でも笑いがとまりませんでした。最初の撮影より場の雰囲気も和み、
無事撮影終了。1時間半というわずかな時間でしたが、
貴重な体験ができた1日でした。初対面とは思えない尾原秀三さんの
会話のキャッチボールのすごさ、
是非参考にしたいものです。放送日まで楽しみやら、ドキドキやら・・・
待合室の本 ~ 僕の小規模な生活(続き)
僕の小規模な生活(講談社 福満しげゆき)は週刊コミック モーニングに連載されていて、今はお休み中ですが、2月末くらいから再連載される予定です。
自信がなさそうで、かつ自分の生き方にコンプレックス抱きながら日々生活しているマンガ家(=作者?)が主人公です。
ところで週刊コミックモーニングといえば、青年コミック誌では、メジャー中のメジャーで、そこで連載され、かつ人気を得ているとう事は、漫画家としては頂点に近いところに到達した事を表してます。
主人公は奥さんと2人暮らしですが、マンガが売れるまでは、仕事やバイトもうまくいかず、ほぼ無職の状態で、ウツウツとした毎日を送っています。自分をさげすんだり、人をうらやむ気持ちが強く、マンガの中でその心情を吐露するのですが、その内容が本当に「小規模」なのです。
やがてマンガが少しずつ認められていくのですが、雑誌編集者との折衝やちょっとしたやりとりも、なかなか「小規模」で、圧倒的な筆力やパワーで人気の座を勝ち取っていく売れっ子マンガ家のサクセスストーリーとは対極にありあます。
同級生からも、あまり相手にされないような境遇にコンプレックスを抱きながらも、さりとて、歯を食いしばって努力と根性で漫画家としての成功をつかんだのでもなく、毎日のちょっとした偶然や、ちょっとした働きがけにより、作者の人生が少しずつ変わっていく様子を、断片的なエピソードと共に描かれています。
画風やストーリー展開はオリジナリティーにあふれ、「なんだこりゃ」と思いながらもつい夢中になって読んでしまいました。私にとってはとても面白い作品でしたが、万人向きかどうかはわかりません。
ちなみに、作者はこの作品を フィクションと主張されていますが、この作品の前作に当たる「僕の小規模な失敗(青林工藝舎)」から続けて読むと、作者の実際の日々を綴っているものとしか思えません。作者のますますのご活躍を期待しています。
待合室の本 ~ 僕の小規模な生活
予約制で診療していますので、出来るだけ患者さんはお待たせしないように心がけていますが( 急患の方はお待たせしています、ゴメンナサイ )診療の都合上、待合室でお待ちいただく時間が出来てしまうことがあります。
予定通り、定時で治療が行われても、お薬を出したり、コンピュータ会計を行ったりで、治療終了後にお待ちいただくこともあります。( 領収書の発行が義務化されてからお待ちいただく時間がながくなってしまいました )
患者さんのお待ちいただく時間を少なくするよう、スタッフ一同ピリピリして気を遣っているのを察していただいているのか、歯医者は待つのが普通と暖かく見守っていただいているのか、クレームをいただくことは今のところありませんが、お待ちいただくのも、お待たせするのも イヤな事には変わりありません。
待合室でお待ちいただいている間に、ゆっくりとお過ごしいただくように、雑誌や本やコミックをご用意しています。
雑誌は
National Geographic 世の中にはこんな事があるのか・・と驚いてしまいます
JJ 女性用です
25ans 女性用です
Kelly ご存じ東海地区の情報誌です
DIME 一般向けの情報誌ですで、他の本は、その時々で、私 長谷川の一存で選んでいます。
待合室の本(コミック)と言えば、一昔前は 「サザエさん」(今でも2冊ほどあります)
少し前は 「ちびまる子ちゃん」 そして 今は「あたしンち」ですよねー。その他にも、隠れた名作がありますが、最近の作品で賛否両論( 「非」の方がやや多い? 作品が良くないというのではなくて、待合室用にはいかがなものか・・・・という意味での「非」です )のコミックが「僕の小規模な生活(福満しげゆき著)」です。
前段が長くなってしまいましたので、コレについては、次回紹介させていただきますね。
勝間和代氏のブログ
勝間和代氏の本を何冊も読んで、ブログで情報を発信することの大切さを痛感しました。勝代氏のブログを見てビックリ!一日何回も書き込み、更新をされています。しかも複数のブログを同時に管理されているのです。
凡人の私にはとてもその域に達することは出来ないのですが、せめて週2,3回の更新を目指したいと考えています。
衛生士石塚さんのバースデー
1月16日は、歯科衛生士石塚さんのお誕生日会でした。名古屋テレビ塔の4階 TowerResutaurant です。
実は私、長谷川はもう何十年もテレビ塔を訪れていなかったのですが、(数十年間・・・)久しぶりに行ってみて、驚きです。夜7時過ぎに行ったのですが、1階の入り口のアプローチから、エレベータであがるのですが、とてもオシャレでした。以前中区の歯科医師会で市会議員の中田ちずこさんから、数年前テレビ塔の付近の風紀があまり良くない(特に夜)との市民の苦情から、明るくクリーンにするよう名古屋市が中心になって働きがけをしたというお話をお聞きしたのですが、それ実感できる変わりようでした。
久屋大通公園の真ん中にあるため、名古屋栄付近の繁華街を久屋大通をはさんで左右に見渡せ、好況の名古屋の街の活気を感じることが出来ました。
お店はゴージャスで、生ボーカルも楽しめ、お料理も凝ってとてもおいしかったです(ローストビーフは絶品です)。
「テレビ塔と名古屋の底力」に感じ入った、楽しいお誕生日会でした。
石塚さん、お誕生日おめでとうございます。これからも優しくソフトな歯のクリーニングをおねがいしますね。新年あけましておめでとうございます
あけましておめでとうございます。
毎年 1月2日に、お休み中お困りの方のために、救急診療を行うのですが、今年は、あまり大げさにアナウンスし無かった事もあり、応急処置を行ったのはお二人でした。
皆様が、平穏に新年をお過ごしの事とお慶び申し上げます。昨年は、インプラント関連の研修が多かったのですが、今年はレジン充填等、虫歯治療の研修にも積極的に参加したいと考えています。
歯科治療では根本的に治療法が変わることは比較的まれですが、材料や器具器材の改良は凄いスピードで行われています。治療結果を大きく左右する場合もありますので、できる限り情報を集め、診療のレベルアップを目指します。
今年もよろしくお願いします。
レストラン探訪(No.4) 龍文(たつふみ) ~ 車道
寿司とふぐの店です。
お寿司は大好きです。どのお寿司屋さんに行っても大満足で、「何たって寿司はネタで決まりだねー」と知った顔をしておりましたが、この店で一口食べ、大ショックを受けました。
大将の長年の経験と味覚で吟味されたネタは、それぞれ最も良い時期に最も良い産地から仕入れ、極力新鮮な状態 または必要に応じて仕込み(加工)がほどこされ(詳しくはわかりませんが)その完成品が一貫づつカウンターに出されます。それぞれのお寿司ごとに、最もおいしい食べ方を教えてくれます。(そのまま食べる、塩だけで食べる、ポン酢とスダチで・・・等々)

有名どころと呼ばれているお寿司やさんには、極力顔を出すようにしていましたが、マラソンでたとえれば、2位以下の選手がスタジアムに入る前に独走でテープを切る堂々ぶっちぎりの一位と称して余りある名店です。
しかしこのお店は、
① アルコールはおいてありません。お酒持参のこと(グラスはあります)
② 店構えは、正直ビビります。心して入ってください。
③ 出来れば、お電話してから行った方がよいかも。(夜は特に満席です)でも、とても気さくなご主人で、味、雰囲気とも至福の時を過ごすことが出来ます。お寿司の好きな方、超オススメですよ。
龍文寿司 TEL : 052-937-6695
〒461-0004 愛知県名古屋市東区葵3丁目17-43さおりさんのお誕生日会 (レストラン探訪 No.3 )
9月26日(水)は歯科衛生士のさおりさんの誕生日会でした。
さおりさんは、当院の歯科衛生士さんの中では最もキャリアが少ないのですが、歯周病やホワイトニングの研修を積極的に受けるなど、とても向学心の強い衛生士さんです。(当院でクリーニングをお受けの方は、3階の個室にかざってある、認定証や受講証をご覧下さい)
お店はシェーネル・ヴォーネン (フレンチ)でした。元祖名古屋の隠れ家ダイニングバーで、私(院長)が最初にこのお店に訪れたのは、かれこれ20年以上前です。モダンな内装(造り)は時を重ねるほどに重厚さを増し、料理の味はもちろん、接遇も申しぶんありません。いつまでもこのレベルを保っていただきたいものです。
お約束の「ハッピバースデー・・・」の時に、サーバーの皆さんが楽器を持ってきて一緒にお祝いしてくださった時は、感激いたしました。
さおりさんお誕生おめでとう。これからもキャリアを積み上げてくださいね。
シェーネル・ヴォーネン
TEL : 052-251-0323
住所 : 〒460-0007 愛知県名古屋市中区新栄1丁目46-2マルセイユ(フランス)でのインプラント研修
9月の16日から20日まで、のパトリック・パラッチ博士(マルセイユ市開業)の研修に参加しました。2005年(2年前)に続いて2回目の研修でしたが、今回も3泊5日の強行スケジュールでした。
研修は日本から6名、他にスイス、スコットランド、ルーマニアの各国の歯科医が参加して行われました。
本年は、骨や歯肉移植によるインプラント審美治療がメインテーマで、9名の患者さんの外科手術とその解説が研修の主体でした。現役の女優さんの前歯を抜歯し、すぐにインプラントを埋め込み歯を作るところまで行うという神ワザ的な技法を目の前で見て、世界のトップレベルの専門医とインプラント技術の進歩を実感しました。また我々研修医を指導しながらも、患者さんに優しくそして暖かく接するパラッチ博士のバイタリティーには、ただただ驚くばかりです。
手術の手技はもちろんですが、医療人としてのスタンスにも学ぶ点がたくさんありました。南仏プロバンスの気候のような明るい人柄が優秀なスタッフを育て、そしてヨーロッパ中の患者さんを引きつけるのかもしれません。
研修は2日間ぶっ通しで行われ、3日目の午前は出発まで時間があったので、マルセイユ港やロンシャン・パレスを観光しました。フランス国内線(マルセイユ~パリ)に乗り遅れるというハプニングはありましたが、無事帰ってまいりました。
レストラン探訪(No.2) 鹿ヶ谷山荘~京都
前回 レストランの報告をしましたところ、数名の方からお問い合わせをいただきました。そこで調子に乗って、味オンチの私(長谷川)ですが、気になるレストランのご紹介をさせていただこうと思います。
いきなり京都でスミマセン。8月末行ったのですが、あまりにもインパクトが強かったので・・・。
鹿ヶ谷山荘といいますが、山のロッジではありません。しっとりとした和食のお店です。哲学の道と交差する細い道(急な坂道)を上っていくと、その山荘はあります。
凝った日本家屋(滋賀の由緒ある民家を解体し運び込んだとのこと)ですが、中はオシャレな隠れ家バーのような造りで、階段を上がると、立派な屏風のある和室や、遠く京都市街を見渡せるテラスもあります。
しかし、圧巻は入り口から入ってすぐの大きなカウンターでしょう。強い夏の日差しをさえぎる奥深い緑の中で、旬の料理や京都の食材を堪能することができます。京都の文化(食文化)の深さを実感いたしました。車でも行けますが、とても細い山道ですので注意が必要です。歩いていくのは(昼でも夜でも)脚力に自信のある方のみおすすめします。住所 京都市左京区鹿ヶ谷徳善谷町4-16 TEL 075-751-2304
■営業時間 昼 11:30~14:30 夜 17:30~23:00 定休日 火休眠してました。どうもすみません。
皆さーん! お久しぶりでーす!
というか
長い間 ブログ休眠していて
申し訳ございませんでした。
「その後 治療はどうなったの?」
「最近、更新されてないようだけど・・・」
「やる気あるんかー」・
・
・等々、
お問い合わせ、叱咤激励(or叱咤のみ)をいただきまして、「私のブログでも読んでいただいている方がいるのだなあ・・・」と嬉しいやら、申し訳ないやら。心を入れ替えて、また、再開させていただきますので、どうか、お暇な方はおつきあいのほどよろしくお願いいたします。
テレビ放映後のお問い合せについて
名古屋テレビ取材の影響で、ずいぶんたくさんの方からお問い合わせをいただいています。
20日にも放映がありますので
東海テレビ ピーカンTV 午前中の番組です
さらに、お問い合せがあるかもしれません。お電話での問い合わせについては、申し訳ありませんが、お答えしない様にしています。健康に関する事ですので、誤解があるといけないからです。
その代わりに、メールやファクシミリでお答えさせていただきますので、どうぞお問い合せください。
メール hdc@topaz.plala.or.jp
ファクシミリ 052-262-8148メール、ファクシミリをお使いでない方は、お手紙でもお答えします。
住所 460-0008 名古屋市中区栄4-17-23診療日記(プログ)オープンしました
初めまして。歯科医の長谷川亨です。
名古屋市中区に歯科クリニックを開業して15年、日々の診療を通じて患者の皆様にお伝えしたいこと、また、ご質問やご要望にお答えする場として、このブログをオープンいたしました。診療内容や歯科一般について、ご質問、ご意見、クレーム・・何でも結構ですので、お気軽にお知らせ下さい。もちろん当院を受診されていない方でも結構です。よろしくお願いいたします。
長谷川亨歯科クリニックについては当院ホームページHPを御参照下さい。






米国歯病学会
米国インプラント学会
口臭外来ほんだ歯科























































































































































/>


























































